电话:029-87679000(总机)
地址:陕西省西安市西五路157号
邮编:710114
网址:www.2yuan.xjtu.edu.cn
2019年12月31日,我院呼吸与危重症医学科成功开展电磁导航支气管镜下肺部小结节活检术。
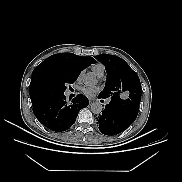
患者张某因体检发现左肺舌叶直径约2cm的结节而异常焦虑,希望能够尽快确诊病情进行积极诊治。但因其病灶在左肺舌叶第6-7级支气管水平,气管直径小,常规电子支气管镜难以到达,若是行CT引导下经皮肺穿刺,则需要穿破较多的肺组织,增加术中术后出血和气胸的风险;考虑到胸部CT提示心缘旁肿物,结合肺部占位,考虑肿瘤可能性大,直接行左肺舌叶手术切除,患者可能无明显获益。同时病区还有一例相似的患者。

面对诊治中的难点,科主任杨拴盈教授和主管医生张德信副教授、史红阳副教授、张永红主治医师经过详细论证后,决定选择电磁导航支气管镜进行肺部结节穿刺活检,先明确诊断。术前将患者的胸部CT资料导入3D智能重建系统中,生成患者的3D支气管树模型,并在电磁导航系统的引导下提前规划了手术路线,从而做到了术前成竹在胸。术中通过电磁导航系统的实时引导,按照既定路线可视化的快速到达了病变部位,完成了目标病灶的穿刺活检,ROSE提示有异常细胞,证明活检位置准确。操作全程仅用时不到20分钟,患者术后无咳嗽、咳血、胸痛等不良症状,身上未留下任何切口,次日即顺利出院等待病理结果。3日后,病理汇报两例分别为鳞状细胞高度不典型增生和肺腺癌。


电磁导航作为支气管镜检查操作中的一个GPS系统,通过病人的电磁定位板及定位探头相配合,结合肺部的三维CT成像和虚拟支气管树,形成肺部的GPS系统,进而引导操作医师将活检钳伸向外周病灶,快速、精准,还可进行肿瘤消融治疗,真正实现了肺部疾病的精准、微创、可视、诊疗一体化。