电话:029-87679000(总机)
地址:陕西省西安市西五路157号
邮编:710114
网址:www.2yuan.xjtu.edu.cn
患者张某,男,69余,患者以“腰痛伴双下肢抽痛5年,摔伤后加重伴行走困难6天”在当地诊断为腰椎滑脱伴椎管狭窄(图1),转入我科拟行手术治疗,入院后完善检查,发现患者有广泛严重的胸椎黄韧带骨化伴不全瘫(图2),钙化范围涉及了胸2至腰2节段,且很多节段压迫极其严重(图3),原本相当于大拇指粗细的椎管,被钙化的黄韧带硬生生挤成了一条缝。

图1 腰椎MRI

图2 胸椎

图3
该患者,压迫范围如此广泛,且压缩程度如此严重,实属罕见。且患者在查体时发现双下肢肌力3级左右,双侧肌张力明显升高,踝阵挛阳性,患者活动时双下肢有难以自控的抽动,无法自行下地行走。
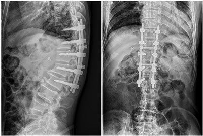
入院后经科室集体讨论,反复研究,压迫如此广泛严重,术中稍有不慎,即有可能致患者瘫痪,手术风险极大。与患者家属充分沟通后,高宗强副主任医师最终决定为患者施行后路长节段胸椎椎板减压并钉棒内固定术。先给医院上报重大手术,在11月20日晨9时许,兰宾尚主任、张纯主任现场把关,王芳术中电生理监测,李有才教授、何家璇进行全麻,由高宗强副主任医师主刀,刘若西博士、刘鹏飞规培医师协助下于在全麻下行后路减压钉棒内固定术(从胸10/11-腰1/2节段),术中发现脊髓压迫极其严重,且骨化块异常坚硬,钙化的黄韧带将硬膜囊紧紧卡死并紧密粘连,术中邀请神外王睿智副主任医师修补硬膜囊,手术持续约8小时,于下午5时许顺利结束。现患者神经功能恢复良好,术前明显增高的肌张力恢复正常,踝阵挛消失(图4),难以自控的抽动消失。

图4
一个如此严重而广泛的胸椎黄韧带骨化患者,本来就少见,还同时伴有严重的腰椎及颈椎疾患,就更为特殊了。而此例手术的成功实施也是我院骨科的实力体现,同时也展示了我院综合医院多学科协作的优势。