电话:029-87679000(总机)
地址:陕西省西安市西五路157号
邮编:710114
网址:www.2yuan.xjtu.edu.cn
8月 30日下午7点,西安一位86岁的老奶奶在外院住院期间突发左侧肢体瘫,意识不清,经外院检查诊断急性脑梗死,并给予静脉溶栓治疗。但溶栓后患者病情未见缓解,意识不清,左侧肢体肌力0级,急诊CTA检查发现颈部的大血管仍然闭塞未再通。情况非常紧急,由于就诊医院尚不能急诊取栓,患者家属及主管医生心急如焚。与此同时,第二届陕西省脑血管病大会正在如火如荼的开展,刚刚结束会议的张桂莲主任正准备吃饭,接到外院会诊的请求,立即起身前往就诊医院查看患者,同时启动本科的卒中绿色通道,通知介入导管室,召集科室卒中团队成员赶往医院,大约15分钟,护士张倩已经做好导尿、抽血、监护等一切准备工作,医生张磊到达急诊室,并为患者挂好号,开好住院证,等待协助患者办理入院手续,此时患者还在救护车上奔赴我院。
张主任跟随患者救护车,并与家属沟通进一步的诊疗计划,认为患者已在外院溶栓效果不佳,建议尽快行全脑血管造影术,必要时行动脉取栓术。征得家属同意,张主任亲自上台,快速完成了脑DSA,发现右侧颈内动脉虽然再通,但是血管开口有巨大的血栓,随时有脱落引起血管再闭塞的风险,张主任果断决定立即取栓,约10分钟后成功取栓,开通了闭塞的大血管,术后患者左侧肢体肌力立即好转为3级以上。

取栓术后颈内动脉内血栓消失

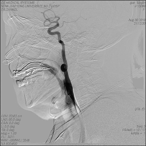
造影见右侧颈内动脉起始段内大量血栓

术前CTA见右侧颈内动脉闭塞

术前CTP提示右侧颈内动脉分布区血流减少

在医护人员争分夺秒、经历了与死神的抗争后,患者的病情明显好转,患者家属万分感激。
在院领导及职能部门的大力支持下,我院神经内科作为陕西省卒中学会神经介入分会主委及中华医学会陕西省神经病学分会神经介入学组组长单位,2012年在省内最早开展脑动脉取栓术,2015年获得中国卒中中心联盟“卒中中心”,2018年喜获中国卒中中心联盟“综合卒中中心”及西安市首批“急性脑卒中医疗救治定点医院”称号,2019年荣获国家脑防委“高级卒中中心”称号。目前,我科卒中绿色通道逐渐完善,挽救了无数患者及家庭。科室对医护多次进行溶栓知识培训,多次组织绿道演练,备有溶栓急救箱,内有rt-PA溶栓药、注射器、输液器及棉签,随时随地可以在第一时间为需要溶栓的患者进行静脉溶栓,为患者节约时间,争取更好的预后。年完成各类血管内诊疗手术千余例,可精准完成各类急、慢性脑血管病的介入治疗,相关手术达到西北领先水平。