电话:029-87679000(总机)
地址:陕西省西安市西五路157号
邮编:710114
网址:www.2yuan.xjtu.edu.cn
近日,我院泌尿外科与心血管外科、麻醉科、普外科、手术室强强联手,完成一例巨大左肾上腺皮质癌合并腔静脉、左肾静脉、左性腺静脉瘤栓(Mayo IV级)手术。
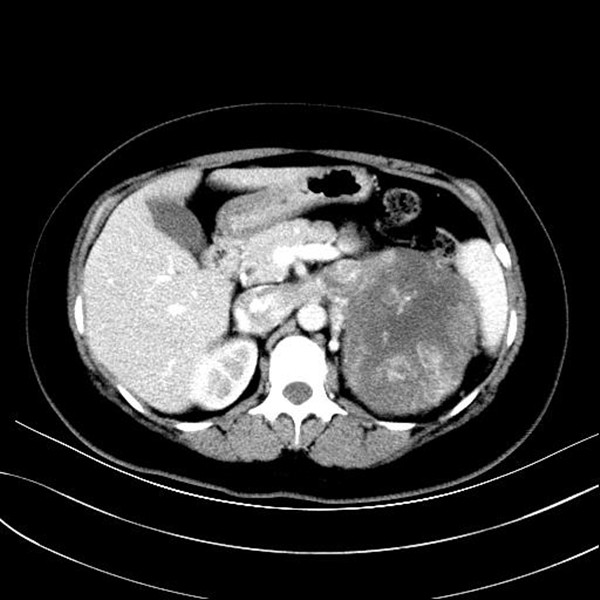
患者赫某,女性,25岁,以“体检发现左肾上腺占位1周余”之主诉入院。入院后检查提示肾上腺肿瘤相关检查:VMA、肾素、血管紧张素均明显增高。肾上腺MRI及CT提示:左肾上腺区异常强化肿块,大小约13.6×10.5cm,左肾静脉及下腔静脉癌拴,瘤栓上缘达右心房入口处。诊断:左肾上腺恶性肿瘤、腔静脉癌栓(Mayo IV级)。

明确诊断,评估病情后予以告病危。病危因素主要来源于以下两方面:1.腔静脉癌栓,此患者癌栓长度大、分布广,不仅上端至右心房,下端左侧性腺静脉上端以及左肾上腺中央静脉开口远端左肾静脉均存在癌栓,癌栓在围手术期有随时脱落可能,尤其是术中因癌栓长度较长,术中取栓操作时癌栓脱落导致肺栓塞猝死可能性极大。2.肾上腺恶性肿瘤,相较于肾癌合并腔静脉癌栓病例,该患者肿瘤来源于左侧肾上腺,体积较大,质地不均,考虑肾上腺恶性肿瘤可能。术前患者血压较高,相关检查VMA、肾素、血管紧张素均明显增高,提示该肿瘤存在内分泌功能,可导致患者血压瞬间剧烈波动,尤其是术中触碰肿瘤导致缩血管物质大量释放,血压急剧升高,可导致重要血管破裂出血,如脑出血等可能,严重者至猝死。肿瘤切除后缩血管物质撤退,导致血管扩张,血压骤降危及生命。
考虑患者年龄较轻,如不积极手术,预期寿命较短,患者及家属得知病情后情绪低落,经种铁主任和薛力副教授及黄月娥护士长等医护团队积极心理疏导及充分沟通病情及治疗方案,患者及其家属摆脱悲观,重燃生的希望。
针对患者病情及围手术期风险,种铁主任组织了多次科室内部及泌尿外科、普通外科、心血管外科与麻醉科、手术室等多学科共同参与的MDT讨论,反复探讨手术方案,打磨手术细节,针对术中可能出现的风险及意外准备相应的应急预案,制定了周密而详细的术前准备、手术步骤与计划。


即使术前已行充分扩张血管及补充血容量及减慢心率等准备,但术中患者血压、心率仍数次剧烈波动,但凭借麻醉科吕建瑞主任、赵亚琴教授团队高超的医术、临危不惧的心理素质,顺利完成麻醉。术中先由泌尿外科种铁教授、薛力副教授团队行肿瘤及腹膜后大血管游离;普外科陆宏伟教授团队随时待命,必要时行肝脏后方腔静脉血管解剖;心外科裴斐教授团队开胸、建立体外循环,切开右心房。然后再行上腔静脉、门静脉、右肾动静脉、腰静脉阻断,切开下腔静脉完整取出腔静脉癌栓,并切除左侧肾上腺肿瘤。术前考虑左肾静脉癌栓长度较长,术中保肾可能性较小,但在术中发现左侧性腺静脉及腰静脉因长期癌栓梗阻导致明显扩张,已形成侧枝循环,种铁教授大胆提出行血管转流术,经腰静脉及性腺静脉引流左肾静脉血流,并通过高超的血管重建技术成功完成该方案,术后未见左肾血流淤积征象,成功保留左肾。目前患者恢复良好,已顺利出院。

肾上腺皮质癌是起源于肾上腺皮质的恶性上皮性肿瘤,合并肾静脉与下腔静脉瘤栓者临床极为罕见。腔静脉瘤栓取出术是目前医学界公认的顶尖难度的手术,危手术期死亡率为10%左右。需要在术中暂时阻断腔静脉血流,在极短的时间内取出癌栓并缝合腔静脉创口,要求术者具有高超的手术技巧与强大过硬的心理素质,在国际或国内顶尖医院泌尿外科才有开展此类手术的能力。另外腔静脉Ⅲ、Ⅳ级癌栓的处理还需要普外科、心血管外科以及麻醉科、重症科等相关科室的共同协作。因此,能否开展下腔静脉癌栓取出术已经成为评估医院及科室医疗水平的重要指标。截止目前泌尿外科种铁教授团队已广泛开展各级腔静脉癌栓取出术,完成例数稳居国内先进行列。

本例手术的成功实施,再次证明了我院泌尿外科及相关科室的强大综合实力。二院泌尿外科人必将本着“仁心仁术 尚德尚医”的理念,不畏艰难、砥砺前行,携手其他相关科室为广大患者的健康保驾护航。