电话:029-87679000(总机)
地址:陕西省西安市西五路157号
邮编:710114
网址:www.2yuan.xjtu.edu.cn
弥漫性肺疾病是呼吸科临床上较为常见的疾病,组织病理学是其诊断的金标准。目前,获取组织标本的方法主要有以下几种方式:1.经支气管肺活检(Transbronchial Lung Biopsy,TBLB);2.经胸壁肺活检(Percutaneous Transthoracic Lung Biopsy,TTLB );3.外科肺活检(Surgical Lung Biopsy,SLB)。TBLB活检获取组织标本小,而且由于活检钳取材时经常出现组织挤压,利用这些微小标本往往很难做出准确的病理诊断。因此,TBLB取材诊断的敏感性非常低,常难以满足病理需要。经胸壁肺活检有发生气胸、血气胸的风险,而且取材量也较少。SLB虽然取材多,诊断价值最大,但创伤大,费用高,患者接受率低。近年来,随着介入肺脏病学的发展,经支气管冷冻肺活检(Transbronchial Cryobiopsy,TBCB)被应用于临床。该技术是利用冷冻探头在冷冻过程中的黏附性,将经支气管镜进入的冷冻探头周围的肺组织暴力撕扯,获得组织学标本的一项新技术。冷冻探头置入深度,直接影响到操作的安全性。过深,发生气胸的风险增大;过浅,发生出血的风险增大且获得的肺组织可能较少。目前各医疗机构开展并不普及,相关报道不多。与传统TBLB相比较,其所取标本大,无组织挤压,可大大提升弥漫性肺病的诊断率;出血发生率及出血严重程度无明显差异,是一项十分重要并值得开展的诊断技术。

杨拴盈教授、张德信副教授操作中

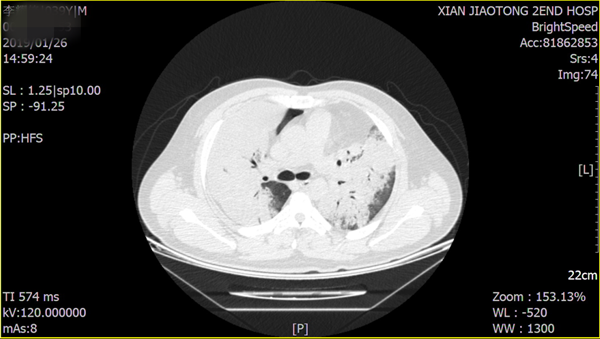
患者的胸部CT影像

经冷冻活检获得的肺组织
经支气管冷冻肺活检(TBCB)并发症:1.出血,发生率约为12%,均为轻度到中度出血,均为可以在镜下处理的出血。到目前为止,尚未有出血死亡报道;2.气胸,发生率约9.5%,发生概率和患者肺部病变程度有关;3.感染;4.气管镜相关并发症;5.麻醉及呼吸机相关并发症。禁忌症:1.有出血倾向和正在接受抗凝治疗的患者;2.血小板<50 ×109>50 mmHg是TBCB的相对禁忌症;4.肺功能FVC<50 %且dlco <35%的预测值被视为相对禁忌症。
近日,我院呼吸与危重症医学科杨拴盈主任、张德信副教授成功给1例弥漫性肺疾病患者行TBCB检查,取材过程顺利,取材量充足。文献检索提示,该患者是西北地区首例应用TBCB技术成功获得组织学标本的病例。该项技术在我院的成功开展使得我院呼吸与危重症医学科对弥漫性肺疾病的诊断更精准、更微创、费用更低,同时进一步促进我院呼吸介入病学的发展,为更多弥漫性肺疾病患者的诊治创造条件。