电话:029-87679000(总机)
地址:陕西省西安市西五路157号
邮编:710114
网址:www.2yuan.xjtu.edu.cn
时间刚刚迈入2019年,一名来自陕西长武县的朴实农民,突发上腹部剧烈疼痛,从未患病进过医院的他在当地医院就诊后被告知, “肝右叶巨大占位,考虑肝癌可能,当地无法治疗建议转院”。突如其来的结果让患者不知所措,几经辗转周折,慕名求医于我院普外科陆宏伟教授,陆教授看过片子后,建议立即住院,完善各项评估,争取手术切除。一席话又燃起了患者生的希望。


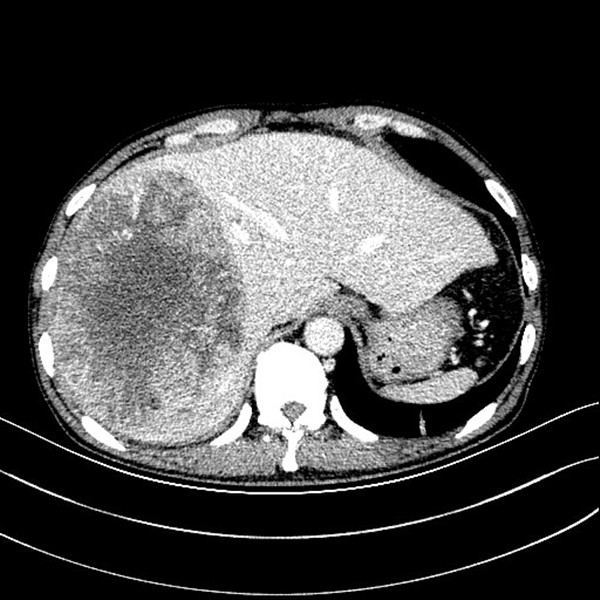
入院后积极完善相关检查,巨大的肿瘤几乎占据整个右半肝,同时伴有肝功异常,少量腹水,考虑肿瘤破裂出血可能。面对如此巨大的肿瘤,经我院肝癌MDT团队评估,认为:“患者门静脉主干和肝右静脉癌栓存在,肝癌射频治疗和介入治疗效果差,手术可能是延长患者生存期的唯一希望”。面对患者绝望而又无助的眼神,家人茫然痛苦的神情,陆宏伟教授及其团队思虑再三,患者存在门静脉右支和右肝静脉癌栓,系介入栓塞治疗禁忌症;巨大肝癌伴陈旧性出血,射频治疗已无意义;靶向药物索拉非尼治疗对一般农民家庭更是奢望;而外科手术切除是给患者延长生命的唯一希望,虽然手术难度巨大,但是一名外科医生不仅要有审时度势的胆识更要有知难而进的担当。
借助普外科3D辅助成像系统术前进行精准评估,实际肝体积3631ml,标准肝体积1288ml,肿瘤体积2048ml,左半肝体积(含尾状叶左半部分)1478ml,除右半肝剩余肝脏体积比标准肝体积大,说明患者左半肝已明显代偿,手术切除是可行的。术前肝功能Child-Pugh A级,ICG 15min滞留率 10.5%,无手术禁忌。
2019年1月26日在科主任陈熹教授、党支部书记吉鸿教授协调下,解放军总医院肝胆外科专家的协助指导下,在王宁麻醉医师、曲文梅器械护士、王丹巡回护士密切配合下,陆宏伟教授团队顺利完成解剖性右半肝切除术。虽然经过术前细致的评估,但是术中实际情况比预想的更加困难,患者肿瘤巨大,周围组织紧密包裹瘤体,并发出大量血管滋养肿瘤,操作空间狭小,每一步操作困难重重。一旦肿瘤再次破裂,大量出血,后果不堪设想。果断地采用前入路切肝方法,先控制入肝血流,再离断并分离右半肝,精细操作,精准解剖,细心结扎每一根血管和管道,完成解剖性右半肝切除术。顺利切除右半肝及尾状叶右半部分。术中及术后患者生命体征平稳,术后无胆瘘并发症,现已恢复正常饮食。为患者进一步治疗,争取了宝贵的时间和机会。
此次普外科顺利实施巨大肝癌标准解剖性右半肝切除术,切除肿瘤约3500g,系我院切除的最大肝癌,是我院做的难度最大、最为精准的肝癌手术,普外科在巨大肝癌精准手术治疗方面又迈上了一个新台阶,进入了精准肝切除时代。