电话:029-87679000(总机)
地址:陕西省西安市西五路157号
邮编:710114
网址:www.2yuan.xjtu.edu.cn
近日,一名因气管异物导致气管破损引发纵隔气肿的危重患儿。经医院多学科联合救治,成功转危为安。
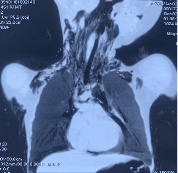
前不久,耳鼻咽喉头颈外科病院急诊收治一名外地转来的22月龄小男婴,据患儿家人讲,患儿2天前玩耍时突然出现哭闹,口唇发紫,气喘,夜间烦躁,不能入睡。在当地医院经抢救后检查胸部CT,提示气管隆突分叉处、左主支气管内异物;纵隔、颈部皮下多发积气,双侧少量气胸,考虑气管穿通伤。由于当地医疗技术及条件限制,患儿被紧急送往西安交大二附院救治。


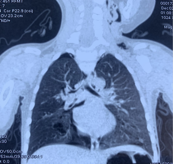
耳鼻咽喉头颈外科病院接诊时,发现患儿精神差,口唇发紫,哭闹时伴有明显气促、喘息,听诊双肺干湿性啰音,右肺呼吸音低。家属无法提供准确异物误吸情况。值班医师接诊后结合患儿病史、体征及影像学检查结果,基本确诊“呼吸道异物、纵隔气肿、呼吸困难”,在行体格检查时,发现听诊与当地CT检查结果不符,重新做支气管CT三维重建扫描发现右主支气管有异物,说明异物在气管内存在移位、活动,这会加重呼吸困难,并随时会出现窒息,造成气管进一步损伤的风险也会增加。
值班医生考虑到呼吸道异物是造成该患儿呼吸困难、气管破损的元凶,取出异物是当务之急!但是由于患儿出现了气管损伤,纵隔气肿已经发生,全麻下正压通气很可能会导致纵隔气肿加重、进而发生张力性气胸、心脏受压导致心跳停止等危险。而如果在局麻下实施手术会因为患儿的抵抗而增加手术难度,并且因为手术刺激导致的呛咳、呼吸道痉挛等情况也会导致纵隔气肿加重、呼吸循环衰竭的发生。当时患儿已处在呼吸衰竭状态,氧分压只有正常人的60%,心跳120-160次/分,神志萎靡,生命危在旦夕,呼吸心跳停止随时都会发生!手术风险高,而继续等待患儿更危险。经与小儿外科、麻醉科、小儿内科、胸外科多学科会诊讨论后一致认为应该紧急手术取出异物,针对术中、术后可能出现的各种情况制定充分的应急预案后,由耳鼻喉科孙斌副主任医师主刀,其他医师协助,在小儿外科、麻醉、手术室全力配合下,以最快的速度,最轻的刺激与损伤,自左主支气管内取出完整葵花籽一枚!术后患儿呼吸逐渐平稳,口唇面色红润,气促、喘息消失,心跳、血氧恢复至正常范围,终于转危为安!


小儿气管异物在临床中非常常见,但不是每个呼吸道异物患儿都如此幸运。因呼吸道异物造成窒息导致死亡的病例时有发生。该类疾病应该以预防为主、防患于未然。因此提醒家长们,学龄前儿童不要喂食坚果、豆类等食物;教育儿童进食时勿玩闹、跑跳,儿童哭闹时家长勿喂食,儿童进食时家长勿打骂、逗弄,养成良好进食习惯;家长应避免孩子接触到硬币、电池、纽扣、具有可拆卸小零件的玩具等物品,给孩子提供一个安全的成长环境;若不幸误吸异物,立即送医,情况危急时可参考“海姆立克急救法”给与紧急救治。