电话:029-87679000(总机)
地址:陕西省西安市西五路157号
邮编:710114
网址:www.2yuan.xjtu.edu.cn
在交大二院运动医学科的病房里,60岁的李阿姨坐在床头,左肩置于特制的外展固定支具上,久违的笑容浮现在她的脸上。通过反式全肩关节置换术,她终于摆脱了因左肱骨颈骨折、肱骨头坏死而引发的近一年之久的肩部顽固性疼痛。

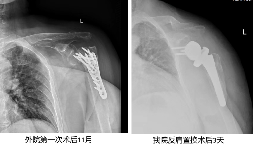
李阿姨在11个月前因受伤导致左肱骨近端粉碎性骨折并伴随左肩关节活动障碍。在外院接受了切开复位内固定手术后,由于同时患有骨质疏松,术后左肱骨近端骨折愈合情况不佳,肱骨头逐渐坏死并被吸收。这一连串的不幸让李阿姨的左肩反复承受剧烈的疼痛,日常活动也受到了极大的限制。疼痛不仅影响了她的睡眠,使她时常在夜间痛醒,更使她的日常生活,如梳头、穿衣、进食等变得异常艰难。李阿姨和家人辗转多家三甲医院寻求治疗,但由于病情复杂,一直未能获得理想的疗效。

就在一周前,经过亲友的推荐,李阿姨来到西安交大二附院运动医学科,找到了时志斌主任。她痛苦地诉说着:“肩部疼痛得让人难以入睡,即使吃了止痛药也无济于事。”面对李阿姨的困境,时志斌主任带领团队进行了详细的检查和评估,最终决定为她实施一种前沿且高效的治疗方式-反肩置换手术,旨在重建和恢复李阿姨的关节功能。在与患者及家属深入沟通后,他们充分理解了手术的必要性和潜在风险,最终决定信任并接受这手术方案。
反式人工全肩关节置换术是目前国际上最前沿的医学技术之一,仅在少数顶尖医疗机构中开展,堪称肩关节外科领域中的“明珠”。这种手术具有极高的难度和风险,要求医生拥有丰富的临床经验和精湛的技术。为了确保手术的成功和患者的安全,在党晓谦教授的指导下,时志斌教授带领倪建龙副主任医师、宋启春副研究员、吕雷锋博士等精英团队,进行了周密的术前准备。凭借多年的手术经验和对反式肩关节置换手术的深刻研究,他们决心迎接这一挑战,旨在帮助李阿姨摆脱病痛的困扰,重获生活的舒适与活力。
在手术过程中,凭借丰富的手术经验和精准的操作技巧,团队成功克服了多重困难。患者肩关节周围的软组织严重粘连、术野显露困难,加之肱骨头坏死、骨质疏松等棘手问题,都给手术带来了极大的挑战。此外,由于患者原有的肩袖组织等肩关节动力结构已丧失功能,团队需要巧妙利用周围其他肌肉组织来重建肩关节的稳定性和活动功能。在麻醉科和手术室团队的紧密配合下,反式肩关节置换术最终得以顺利完成。

术后李阿姨的肩部疼痛得到了显著缓解,经过康复科个性化的康复训练支持,李阿姨恢复迅速顺利出院。如今,她已能够自如地活动左肩,生活质量得到了极大提升,她对术后效果表示非常满意,感激之情溢于言表。反肩置换手术的成功实施,不仅让李阿姨肩膀重获新生,也展现了运动医学科在复杂肩关节疾病治疗领域的专业实力。

时志斌教授指出,反式全肩关节置换术是一种专门针对严重肩关节病损的高效治疗方法。它广泛应用于肩袖巨大撕裂、严重肱骨近端粉碎性骨折、肱骨近端骨折后遗症、肱骨近端肿瘤等难治性肩关节损伤疾病。通过这项手术,能够很大程度保留肩关节的活动度,并且绝大部分患者在术后都能感受到肩痛症状的巨大改善,从而显著提高他们的生活质量。