电话:029-87679000(总机)
地址:陕西省西安市西五路157号
邮编:710114
网址:www.2yuan.xjtu.edu.cn
重型颅脑损伤、脑疝、肾破裂、失血性休克,无论哪种疾病单独出现,均会让人想到死亡。而这位车祸后脑疝合并失血性休克的小海洋(化名),凭借我院重症医学科、神经外科、介入科、小儿外科及输血科等医护人员的共同努力,最终赢得了这场与死神的战斗!
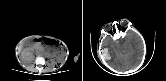
小海洋不幸遭遇车祸,就诊于我院急诊科时已出现失血性休克,烦躁,心率增快,血压下降,血红蛋白测不出,影像学提示右肾周大量积血。这是一场与时间的赛跑,在急诊抢救室会诊评估病情并与外科沟通后,我重症医学科住院总侯彦丽当即联系介入科,并向科室值班二线王春亚医师汇报情况,科室做好收治准备,做好无缝交接,避免时间的延误。

在收入重症医学科时患儿出现瞳孔不等大等脑疝表现, CT提示颅内血肿在进一步扩大、中线移位。虽已至凌晨,但介入科彭玉萍、刘强教授等人仍然毫无怨言,以最快速度赶至医院。神经外科刘重霄教授反复评估病情,患儿亟需去骨瓣减压以挽救生命。介入与神经外科手术术前准备同时进行。当迅速、准确找到出血罪犯血管并栓塞后,虽患儿的血尿颜色迅速变淡,血压趋于平稳,但大家的心仍高悬未搁。大出血后血小板、凝血因子大量消耗,凝血功能严重紊乱。进则面临术中致命性出血,退则随时因脑疝呼吸、循环骤停。输血科值班人员立即调配新鲜冰冻血浆、血小板等来给外科手术保驾。
这一夜,小海洋的生命之灯在20余名医护的呵护下越来越亮,当太阳升起的时候,神经外科手术顺利结束回到ICU。
小海洋车祸造成身体的重创,在如此短暂的时间内又经历了大出血、颅内血肿清除及去骨瓣减压手术,术后必须精心治疗及护理。抗癫痫、抗感染、预防血栓形成、营养支持、伤口护理等对症治疗都不能忽略,在主管医生王春亚及全体重症医学科工作人员的努力下,半个月后患儿的神志清楚、肾功能恢复、癫痫控制,转入神经外科继续治疗。
ICU对重症患者的治疗为原发病的治疗创造了时机和可能性,其它各专业的对原发病的处理又是重症患者好转的重要基础,只有在大家的共同努力下,重症患者才能渡过生命最困难的时刻,就像暴风雨骤起时在避风港等待的船,雨过天晴,生命之船将再次起航。