电话:029-87679000(总机)
地址:陕西省西安市西五路157号
邮编:710114
网址:www.2yuan.xjtu.edu.cn

近日,干二病区协助心内科开展了首例冠状动脉旋磨手术。
60岁的蒋先生因阵发性心慌1年余入院。入院检查提示三支病变,左前降支近中段呈80-95%狭窄,前降支狭窄最重处最小管腔面积为2.7平方毫米,管腔钙化360°,有行冠状动脉旋磨术指征。在家属知情同意下,7月16日上午,在干二病区科高洁主治医师、成海娟住院医师、井兰兰护士的陪同与协助下,心内科邓捷副主任医师、朱参战副主任医师、王新宏主治医师等人为蒋先生成功实施了冠状动脉旋磨术,并于前降支、左主干、回旋支各植入1枚支架。术后患者未诉不适,继续药物治疗,随访良好。

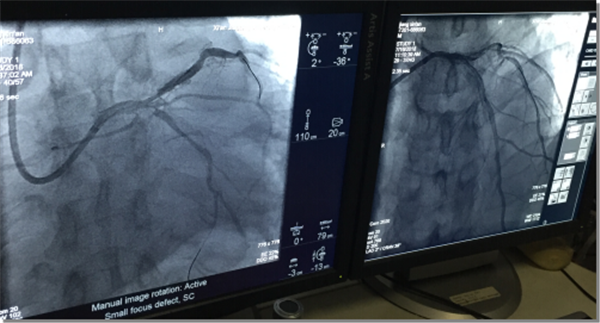
术前术后造影情况对比
冠状动脉旋磨术是采用呈橄榄型的带有钻石颗粒旋磨头,根据“差异切割”或“选择性切割”原理消除纤维化或钙化的动脉硬化斑块,而具有弹性的血管组织在高速旋转的旋磨头通过时会自然弹开,即旋磨头不切割有弹性的组织和正常冠脉,目前主要应用于严重狭窄、内膜钙化、慢性阻塞等高危冠心病患者介入治疗。

冠状动脉粥样硬化心脏病是动脉粥样硬化导致器官病变的最常见类型,已成为威胁人类健康的主要疾病之一。选择性冠状动脉造影术已成为现代诊断冠心病的“金标准”,经皮冠状动脉球囊血管成形术与冠状动脉支架植入术能使狭窄的甚至闭塞的冠脉血管恢复正常血流,从而改善心肌的血流灌注。然而,对于严重冠脉钙化病变行冠脉介入手术时,常常会出现支架不能到位、支架脱截、支架断裂和支架贴壁不良,从而导致PCI失败或出现冠脉夹层、破裂等严重并发症。冠状动脉旋磨术可选择性的将严重钙化和纤维化的病变斑块组织研磨成粉末状碎屑,使血管腔扩大,以使冠脉血运重建,随后顺利植入心脏支架。
冠状动脉旋磨术对操作者和介入中心的软硬件条件要求很高,现时只有在全国较大的介入中心才能开展,本次冠脉旋磨手术的成功实施,为我科在复杂冠脉介入技术的发展上奠定了基础,因其减少了复杂冠脉患者介入治疗发生严重并发症的几率,提高患者的生存质量,为更多的患者带来了福音。