电话:029-87679000(总机)
地址:陕西省西安市西五路157号
邮编:710114
网址:www.2yuan.xjtu.edu.cn
2018年5月18日,西安交通大学第二附属医院胸外科再次成功完成1例胸腔镜下单操作孔右肺上叶巨大肿瘤切除术。
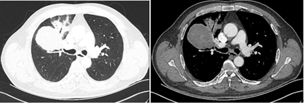
患者肿瘤位于右肺上叶,直径约10cm,与肺血管关系密切,粘连紧密,手术难度高,风险大。入院后,胸外科主任李少民教授查看患者,阅读影像资料,向家属沟通病情及治疗方案。治疗团队决定行单操作孔胸腔镜下右肺上叶切除术,完善术前准备后,李少民教授带领手术团队在麻醉科及手术室的配合下,历时2小时余,成功完成了单操作孔胸腔镜下右肺上叶切除及纵隔淋巴结清扫术,患者术后恢复良好,胸部仅可见两处切口,长度分别为1cm、5cm,大大减轻了患者的创伤,有利于术后的快速康复。

近年来,随着微创外科的迅速发展,胸腔镜在胸外科治疗中的使用已非常普遍。因各种原因所致的肺部病变而行胸腔镜下手术治疗方法也逐渐发展的多种多样。
肺恶性肿瘤是胸外科的常见疾病,外科治疗通常根据病变大小行肺叶切除加纵隔淋巴结请扫(即大家所熟悉的“肺癌根治术”)。传统胸腔镜下的微创肺癌根治术多以 “三孔”(即胸壁三个小切口,长度分别为1cm、1cm、5cm)方法完成。随着胸腔镜技术的成熟以及医疗辅助器械的进步,微创手术再次进一步升级。国内部分医院如北京、上海、广州等地兄弟科室已经有“两孔”、“单孔”胸腔镜下肺叶切除术,发展迅速且成熟稳定。
西安交通大学第二附属医院胸外科早已普及开展胸腔镜下肺叶切除术等胸部肿瘤微创手术,但之前仍以 “三孔”技术较多,但“单孔”胸腔镜下肺叶切除术尚未全面开展,继2018年5月科室举办西安交通大学第二附属医院胸科论坛之际,同济大学附属上海市肺科医院朱余明教授来院指导单孔胸腔镜下肺叶切除技术后,我科对单孔及单操作孔胸腔镜下肺部肿瘤手术技术有了新的认识和提高。近日,胸外科在李少民主任的带领及麻醉科的配合下已成功完成数例胸腔镜下单操作孔肺叶切除及纵隔淋巴结清扫术,实现了由三孔向单孔胸腔镜下肺叶切除技术的过度。为我科进一步提高胸腔镜下胸部肿瘤微创手术技术起到了巨大的推动作用,体现了西安交通大学第二附属医院胸外科团队在李少民主任的带领下不断突破自我,追求进步的崇尚理念。