电话:029-87679000(总机)
地址:陕西省西安市西五路157号
邮编:710114
网址:www.2yuan.xjtu.edu.cn
近日我院心血管外科接诊一例重症心衰患者,女性,62岁,有风湿性心脏病病史40余年,出现气短、心慌不适及间断双下肢浮肿等心功能不全表现10余年,因顾虑心脏手术风险,一直采取药物保守治疗。近1年来患者气短愈加严重,不能平躺,并且出现持续腹胀、双下肢肿胀,反复就诊于省内多家知名医院,均被告知已丧失手术治疗机会,预期生存时间短。患者因长期被病痛折磨,已呈恶病质状态,重度营养不良,浑身皮包骨,进食及休息均十分困难,痛苦不堪,求治无门。后经多方打听,入住我院心血管外科。
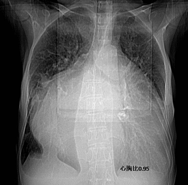
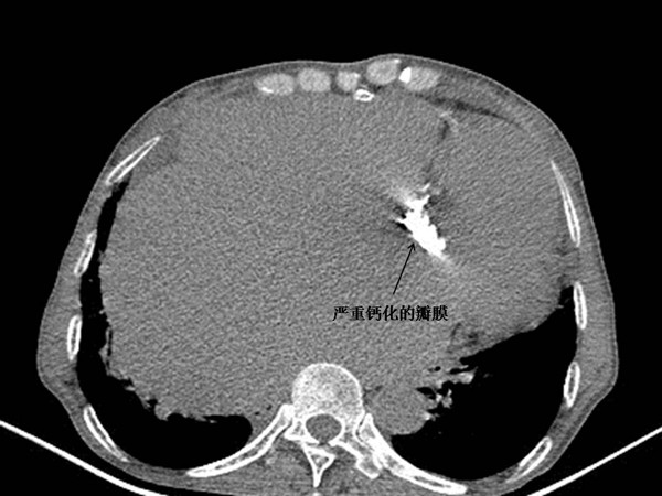
入院后行相关检查,患者的心脏让所有人大吃一惊,胸部CT检查发现心脏极度扩大,心胸比达0.95(注:心胸比正常值约为0.40-0.50,大于0.60即为心影重度增大),极度瘦弱的胸腔基本被心脏填满,这是心外科有史以来接诊的最大心脏!心脏超声提示:风心瓣膜病,二尖瓣狭窄(重度),开口面积仅为0.7cm2(注:正常成人二尖瓣开口面积为4-6cm2),合并关闭不全,返流(极大量);主动脉瓣狭窄(重度)合并关闭不全,返流(少量);三尖瓣返流(极大量);肺动脉高压(重度);左心收缩功能测值明显减低,EF0.41。
由于患者心脏主要瓣膜重度狭窄,治疗上不能常规使用强心及扩管药物,只有加强利尿、减轻心脏负担这一条路,但由于患者长期应用大剂量利尿剂治疗,效果越来越差,气短及腹胀、下肢水肿等表现继续加重。此时饱受病痛折磨的患者已濒临绝望,强烈要求手术拼死一搏。
随着其他检查结果陆续回报,患者的病情又让人心头一紧:患者肺功能检查提示混合型肺通气功能障碍(重度阻塞,中度限制),MVV占预计值仅为35%;有慢性肾炎肾功损害表现,右肾萎缩,左肾轻度积水;白细胞计数及血小板计数减少,白细胞计数2.99×109/L,血小板计数57×109/L。
患者心脏病情极为严重,严重钙化病变导致二尖瓣及主动脉瓣重度狭窄,心功能极差,心脏极度扩大,临近终末期状态,行常规瓣膜手术修复风险极大。手术需要同时处理三个瓣膜(二尖瓣及主动脉瓣置换、三尖瓣上环成形)及左心房(左心房折叠成形及左心耳缝闭),步骤繁杂,心脏停跳时间长,体外循环及手术打击对于患者脆弱的心脏来说可能是压死骆驼的最后一根稻草,手术结束后可能无法停机脱离体外循环最终死亡。加之患者合并有重度呼吸功能不全、肾损害、血小板减少及白细胞减少等情况,即使心脏挺过手术打击这一关,围术期仍可能出现以下情况导致病情恶化、功亏一篑:血小板减少及体外循环打击导致凝血紊乱术后大出血;肺功能极差,术后无法脱开呼吸机导致呼吸衰竭、严重肺部感染;脆弱的肾脏在手术及体外循环打击下术后可能出现肾功能衰竭;术后ICU住院时间长,患者白细胞数低,营养不良,可能出现严重院内感染等并发症。



经查阅文献,如此巨大的心脏在全球范围内也极为罕见,仅有一例同样心胸比大小的印度患者手术成功的报道(仅行二尖瓣单瓣膜置换术),其他零星报道或手术失败或放弃手术。面对如此严峻且危重的病情,裴斐主任多次组织全科研究讨论,认为虽然患者心脏巨大,濒临终末期,但综合分析患者全身情况,仍未完全丧失手术抢救机会,且国际上有类似手术成功案例。心血管外科主任裴斐教授面临着艰难抉择,和其他的同道专家一样宣告风险过大,无法手术,那是最简单、轻松的,但等同于向患者宣判了死亡通知。建议放弃现有心脏,行心脏移植,一方面花费巨大,患者家庭难以承受,另外患者目前状态可能无法坚持到合适的心脏供体的到来。选择瓣膜手术,应该是患者的一丝生机,但极有可能出现人财两空的局面,在当前紧张的医患关系和医疗环境下,可能导致一场闹心的医疗纠纷事件。
裴斐主任多次与患者家属开诚布公的沟通病情及手术的巨大风险。患者本人强烈的求生欲望、家属的坚定豁达最终让裴斐主任决定手术治疗,迎接挑战。患者听到手术通知时浮肿的眼睛迸发出的兴奋眼神以及被患者儿子泪水打湿弄皱的手术同意书让手术团队心里格外沉重,患者以生死相托,吾等定当全力以赴!裴斐主任组织手术团队反复商讨,对手术预案及围术期处理制定了周密的安排。
经过术前精心准备,手术一刻终于来临,手术及麻醉团队严阵以待。麻醉科吕建瑞主任、李芳及李有才教授等众多麻醉医师的通力协作,在上半身抬高50度的艰难体位下为患者麻醉插管,期间血压下降,使用大剂量升压药物艰难维持血压。裴斐主任及万俊哲、张伟主治医师组成的手术团队迅速完成消毒、铺巾,打开患者胸腔后发现心脏极度扩张膨大且转位,视野中仅可见右心房及上腔静脉,心脏搏动无力、几近停搏。手术团队在极短时间内建立起体外循环辅助,心脏终于趋于平稳。打开心脏发现瓣膜严重钙化、坚硬如骨。手术按计划有条不紊进行,切除病变二尖瓣及主动脉瓣膜,置换为人工机械瓣膜,扩大的三尖瓣上环成形,左心耳缝闭,巨大左房予以折叠缩小。术中从患者仅40公斤的瘦弱躯体中体外循环竟超滤出多达8100ml液体。术后患者心脏顺利复跳停机,心脏仿佛卸除了重担,搏动有力,焕发出新机。当患者推出手术室的一刻患者家属相拥而泣,而此时手术团队仅仅是松了一口气,心头的重担还无法卸下来,患者还将面临术后心肺功能恢复、出血、感染、肾功衰等一道道难关!患者在监护室很快出现严重心律紊乱、频发短阵室速,血压偏低,胸腔引流持续偏多,手术切口广泛渗血,持续40℃高热….裴斐主任带领手术团队同重症医学科王小闯主任、韩俊丽主治医师等不辞辛劳昼夜守护在患者床旁,十余道输液泵将各种血管活性药物徐徐泵入,血小板、新鲜血浆等不断输入患者身体。患者病情逐渐稳定,终于度过术后危险期,术后第四天脱开呼吸机并拔除气管插管,术后第五天转回普通病房,恢复良好,现已顺利出院,喜获新生。
这例罕见巨大心脏患者的成功救治体现了裴斐主任带领的心血管外科团队的精湛医术以及不惧艰险、迎难而上的担当和胆识!也体现了我院多学科通力配合的协作精神及综合实力。
心血管外科是一个充满挑战的专科,工作中经常可以碰到类似的危重、高风险病例。虽然直面生死、压力巨大,但裴斐主任及其手术团队勇于担当,坚守职责,尊重生命,对患者不抛弃、不放弃,挽救了许多垂危病例。在医院成立心血管病院的新的发展机遇下,心血管外科将不忘初心、砥砺前行,继续创造更多生命的奇迹!