电话:029-87679000(总机)
地址:陕西省西安市西五路157号
邮编:710114
网址:www.2yuan.xjtu.edu.cn
春光明媚,万物复苏,柔和的春日阳光普照大地,给世间带来了生的希望。而孙女士的心情也一如这世间万物被赋予新的力量。
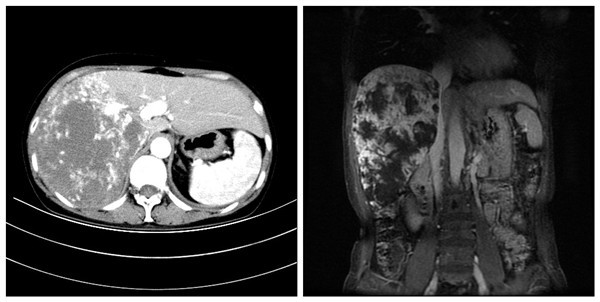
现年50岁的孙女士家住陕西省铜川市。两月前,孙女士感到右上腹疼痛,但由于平素身体状况良好,未予重视。后来上述症状持续不缓解,孙女士开始重视了。在当地医院就诊,行上腹部增强CT示:肝右叶巨大肿块影,多期扫描呈斑片状结节样渐进性强化,考虑肝右叶巨大血管瘤。这一检查结果对于没有医学背景的孙女士一家如同晴天霹雳!“血管瘤!是不是恶性肿瘤!”种种猜想萦绕在孙女士的心头。后来孙女士一家通过各种渠道,听闻西安交大二附院普通外科黎一鸣教授在肝血管瘤治疗方面有颇深的造诣,慕名而来。
在接诊后,黎一鸣教授在详细询问病史、仔细查体并阅片后,表示让孙女士安心,血管瘤为良性病变,不属恶性肿瘤,并认为肿瘤生长情况虽然复杂,但若充分准备可完整手术切除,遂收住入我院普外科二病区(肝胆胰脾病区)。




孙女士入院后接受了完整的术前检查及评估,而其结果回报提示肝右叶肿块占位明显,邻近结构受压移位,下腔静脉肝后段受压,管腔明显变窄。黎一鸣教授团队分析认为:肿瘤巨大,若要完整切除肿瘤,需要仔细分离第二、第三肝门,必要时需行下腔静脉人工血管重建。且术中需阻断肝门,手术必须以最快的速度精细的完成,以避免术后患者出现肝功能障碍,手术难度极大。
面对如此高风险的手术,黎一鸣教授、刘清峰副教授、吉鸿副教授、陆宏伟教授等经过认真讨论,组织科室专家反复研究,制定了严密的围术期治疗计划,并与患者家属充分沟通病情及治疗方案。万事俱备,黎一鸣教授团队于2018年4月11日在输血科、麻醉手术科医务人员的大力配合下,在全麻下为该患者实施了肝巨大血管瘤切除术。术中见肿瘤约30*25*20cm大小,已占据整个肝右叶,其病情与术前评估一致。手术历时3小时顺利完成,术中出血量少,术野清晰。黎一鸣教授高超的肝胆外科造诣保证了该项高难度手术的顺利实施。术后患者恢复顺利,拟于近日出院。
此次巨大血管瘤手术的成功,标志着我院普通外科(肝胆胰脾病区)在肝胆疾病领域又迈上了新台阶。