电话:029-87679000(总机)
地址:陕西省西安市西五路157号
邮编:710114
网址:www.2yuan.xjtu.edu.cn
目前,我院神经外科再次于神经内镜下成功完成1例高难度复杂性垂体腺瘤切除手术。术后经2次复查,患者的内分泌检查均恢复正常,影像学检查示肿瘤完全切除。
患者女性,29岁,1年余前因“肢端肥大和容貌改变”首诊于某知名三甲医院,诊断为“生长激素型垂体腺瘤”,后行开颅手术,但鉴于肿瘤坚韧且血供异常丰富(摘自原手术记录),遂行部分切除,鞍内残余肿瘤后再行伽马刀治疗。但术后患者视力缓解不明显,四肢胀满感明显,多次复查肿瘤相关的“生长激素”均高,头颅MRI复查提示“肿瘤复发”,后经多方辗转就诊于我院。神经外科组成了以周任教授为组长的专家团队,经全科讨论分析认为:该肿瘤质地坚韧且血供丰富,本身手术即困难,再加之为“二次手术”,且经“伽马刀”治疗,肿瘤与其周重要结构的粘连,术中分离时风险和难度很大;但再考虑到该患者手术的必要性,残存肿瘤主体位于蝶鞍内,以及我科神经内镜组近几年的手术沉淀。经与患者家属充分沟通,决定采取经鼻蝶神经内镜下复发垂体腺瘤切除。

手术由周任教授亲临指导,刘重霄副教授主刀、郭振宇副主任医师协助,在宋琴主管护师和麻醉手术室李伟副主任、曲文梅护师等医护人员的默契配合下,采用神经内镜下“双人四手”技术,用时2小时余完成了该例复杂性垂体腺瘤手术,术中出血甚少,未予输血。术后患者视力较前明显好转,四肢胀满感消退,2次复查生长激素均正常,无尿崩、内分泌紊乱和脑脊液漏等症出现,术后复查MRI未见肿瘤复发。正可谓“寒梅吐蕊报新春,仁心柔术挑担义”。

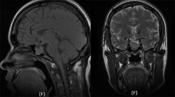
头颅MRI示肿瘤主体位于鞍内,质地硬韧,与颈内动脉粘连紧密

垂体动态增强示右侧鞍上池受压上抬,鞍隔显示不清,肿瘤不均质增强

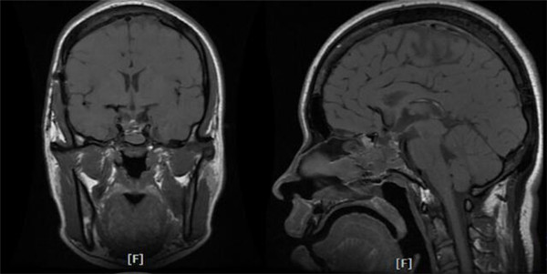
术后复查示正常垂体前后叶均显现,鞍上池形态恢复,未见明显肿瘤残留
垂体腺瘤起源于垂体前叶细胞,是最常见的鞍区肿瘤。该肿瘤主要表现为内分泌紊乱、视力视野障碍和头疼等症,其治疗的主要目标在于缓解肿瘤的压迫症状,同时最大程度地保护垂体及其毗邻结构的功能。根据肿瘤和患者的个体情况,垂体腺瘤的治疗包括手术、药物和放射治疗。其中神经内镜下经蝶垂体腺瘤切除术是目前应用最为广泛的手术方式,这主要得益于该手术创伤小(尤其是脑组织损伤小)、术野显露好和直视下肿瘤切除等优点,能将肿瘤最大程度的切除与垂体功能的保护完美结合起来。近年来科室的亚专业化正在大力推进,在医院和科室领导以及上级医师的大力支持下,神经外科内镜组刘重霄副教授和郭振宇副主任医师从2014年起在我院率先开展该项工作,目前已完成各种类型的垂体腺瘤神经内镜下经鼻蝶切除术近百例,总体效果良好,积累了较为丰富的临床经验。