电话:029-87679000(总机)
地址:陕西省西安市西五路157号
邮编:710114
网址:www.2yuan.xjtu.edu.cn
日前,我院胸外科为一例复杂纵隔肿瘤并发上腔静脉综合征患者顺利完成纵隔肿瘤完整切除并人造血管上腔静脉置换手术,患者目前康复顺利。
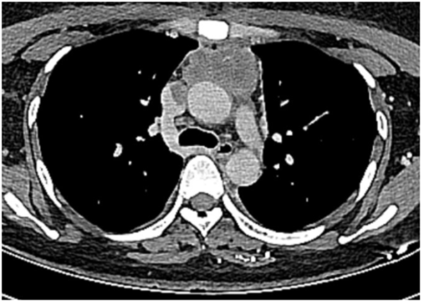
患者为一位35岁女性,一个月前出现出现颜面部肿胀,晨起明显,近1周来颜面部肿胀逐渐加重,为求手术治疗,来我院胸外科就诊并入院。胸部增强CT检查显示患者前上纵隔长有大小为5.0cm×3.0cm×2.5cm的肿瘤,紧邻双侧膈神经,已侵犯心包、上腔静脉及左侧无名静脉等胸腔大血管,且上腔静脉及左侧无名静脉内瘤栓形成,几乎完全阻塞管腔。患者初步诊断为前上纵隔肿瘤伴上腔静脉综合征,穿刺活检未能明确病理性质,患者家属手术愿望强烈。若要手术治疗,不仅需要仔细分离切除严重侵犯周围组织的肿瘤,还需阻断并切除受侵血管,不仅需要胸外科手术基础,更需要熟悉心脏、大血管解剖,灵活掌握复杂的血管吻合技术,选择合适的人工血管进行重建。此外,长时间阻断血管会使头部和上肢血液回流受阻,容易导致脑水肿和神经功能障碍,因此手术必须分秒必争,以最快的速度完成肿瘤切除与血管重建,尽量缩短上腔静脉阻断时间,同时还需确保血管吻合的可靠性与通畅性,对手术技艺的要求极高。人工血管重建后,体内容易形成血栓,围术期需加强抗凝治疗,但与此同时增加了术后出血的几率,对围术期出血与血栓的管理又提出更高的要求。手术难度极高,非常容易损伤胸腔内重要脏器、神经,造成非常严重的并发症甚至危及患者生命。

面对如此高难度、高风险、高要求的 “三高”手术。我院胸外科主任李少民教授详细与患者家属沟通病情及治疗方案,组织科室专家反复研究后,制定了周密的手术计划和围术期管理方案。治疗团队勇于挑战、知难而上,在麻醉手术科医护人员的大力配合与协助下,于2018年3月22日在全麻下为该患者实施了前纵隔肿瘤切除、上腔静脉切除、左侧无名静脉部分切除、心包部分切除、颈静脉-右心房人工血管重建搭桥术。手术历时4小时顺利完成。该项高难度手术的成功实施,标志着我院胸外科在胸腔外科领域又上了新台阶。
上腔静脉固定于上纵隔内,在气管和右主支气管的前方,其周围有许多淋巴结。上腔静脉外部病变的压迫、包绕或本身的疾患可以引起头颈部和上半身静脉回流受阻及一系列临床症状和体征。Hunter于1957年首先描述了这种情况,并称之为上腔静脉综合征。临床表现的轻重随阻塞发生的速度、阻塞的程度以及上腔静脉阻塞部位与奇静脉之间的解剖关系而异。最常见的症状是面、颈、臂、上胸部肿胀,常伴有静脉曲张。眼常最先受累,主诉流泪、眼睑水肿、眼球突出。视网膜检查提示有视网膜水肿、静脉充血。如果奇静脉也受到阻塞,则这些症状和体征更明显。不久患者可出现头痛、头昏、耳鸣,向前低头时头部有胀裂感,面部发红或发绀。静脉高压可引起颈静脉和脑血管血栓形成,并由此而引起一系列症状和体征。目前,90%以上的上腔静脉综合征是由恶性疾病所致。20世纪后半期,肺癌已成为上腔静脉综合征的最常见病因,约占全部病例的3%~15%,尤以小细胞癌最为常见。淋巴瘤居肺癌之后,是引起该综合征的第二位病因。其他恶性肿瘤,如恶性胸腺瘤等。精原细胞瘤、转移性肝癌、白血病、恶性心脏肿瘤均能引起上腔静脉综合征。