电话:029-87679000(总机)
地址:陕西省西安市西五路157号
邮编:710114
网址:www.2yuan.xjtu.edu.cn
2024年3月25日,我院骨科中心关节外科病区团队成功完成一例复杂全部肘关节翻修术,使患者摆脱了肘关节活动受限的困扰,生活质量显著提高。这一技术的成功应用,标志着医院在关节治疗领域达到了新的高度,为众多关节损伤的患者带来福音。
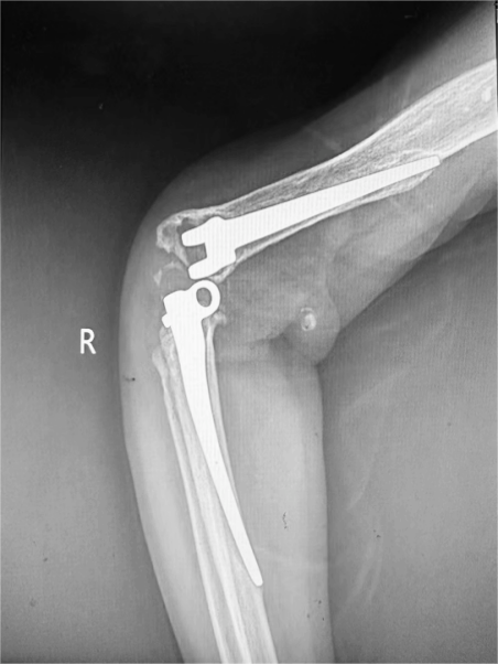
患者是一名55岁的中年男性,23年前因严重车祸伤于我院由王坤正教授完成右肘关节置换术,术后恢复良好。1年前患者再次出现右侧肘关节疼痛,外院肘关节X片提示假体转轴磨损脱落合并脱位。患者第一时间联系了我科,要求行翻修手术。入院时右侧肘关节无活动度,功能基本丧失,患者的工作和生活受到了极大的影响,深感痛苦。



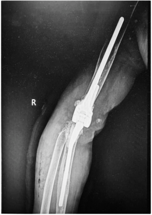
与其他人工关节置换术相比,全肘关节置换术在设计和手术技术上要求更高。肘关节的复杂运动特性使得术后假体活动和稳定性的控制成为一大挑战。此外,假体在各种体位和活动中的松动、断裂和磨损风险,对手术医师的操作准确性与熟练度提出了严格要求。该患者术前肘关节假体肱骨侧及尺骨侧均几乎穿出骨皮质,髓腔形态异常,为确保手术成功,关节与足踝病区团队完善术前讨论,为该患者设计了个性化的3D打印肘关节假体,并提前模拟了手术假体安装过程。在王坤正教授的指导下,杨佩教授、王春生副主任医师经过精细操作,最终使这一例复杂肘关节置换术最终成功实施,使患者可以更快地恢复肘关节功能,进行正常的日常生活活动,提高生活质量。


此项手术的成功依赖于骨科中心关节外科病区团队卓越的技术实力,不断引进先进的医疗技术以及高效的团队协作,为患者提供个性化的治疗方案,展示了我院骨科高水平的专业技术和业务能力,奠定了我院骨科的领先地位。我们将继续提高团队的技术水平,为患者提供更加精准的治疗方案,提高患者满意度,进一步促进我院骨科的发展。