电话:029-87679000(总机)
地址:陕西省西安市西五路157号
邮编:710114
网址:www.2yuan.xjtu.edu.cn
膝关节骨性关节炎常会出现严重的膝关节内翻畸形,即人们常说的“罗圈腿”,目前常用的治疗方法是全膝关节或单髁关节置换,通过切除已破坏的关节面,将人工假体植入体内替代病损部位,可缓解疼痛、改变外观并大大改善关节功能,疗效显著。但对于相对年轻,膝内翻畸形明显,关节镜微创手术已经力不从心,但又未达到关节置换的程度的骨性关节炎患者。有没有一种手术费用低、手术时间短、术中出血少、术后恢复快的治疗选择呢?
胫骨高位截骨(High Tibial Osteotomy,HTO)技术是通过胫骨干骺端截骨,张开或闭合截骨端,纠正下肢力线,将体重压力由已经出现病变的内侧转移到相对正常的外侧,可大大降低关节内侧压力负荷,阻止软骨的过度磨损和破坏进程,从而矫正内翻畸形,有效的缓解疼痛,阻止关节炎的进一步发展。HTO技术是从近年的“保膝”理念发展而来,它在保留患者原有膝关节的前提下,最大程度地保留了关节的运动功能,恢复正常的下肢力线,延长关节的自然使用寿命,推迟或避免关节置换手术,对年纪较轻的患者具有独到的优势。目前认为HTO的最佳适应证是: 患者小于65岁(女性<60岁);膝关节活动度基本正常,屈曲畸形应小于10°;胫骨内翻畸形大于5°,内侧胫骨近端角(MPTA)小于85°,外侧软骨和半月板功能基本正常。

手术示意图

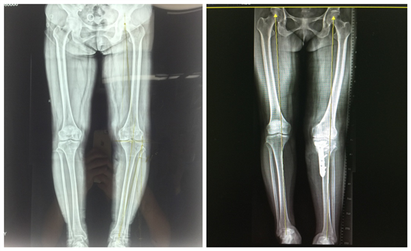
下肢全长片术前(左),术后(右)

下肢外观照术前(左),术后(右)
日前,西安交通大学第二附属医院首例HTO手术在骨一科顺利完成,患者是一位49岁的中年女性,双侧膝关节内翻,左侧更为严重,检查发现内侧关节间隙疼痛,长距离行走活动后加重,合并有关节交锁,MRI显示左膝内侧半月板退变撕裂,内侧股骨髁及胫骨平台软骨缺损,左膝关节明显内翻达18°。患者并未达到关节置换的适合年龄,又惧怕过大的手术创伤,四处求医长期保守治疗无效,严重影响了日常生活。
骨一科党晓谦主任为其设计了关节镜下清理联合HTO的手术方案,根据下肢全长片规划出Fujisawa点,术前准确计算内侧截骨撑开角度。手术由骨一科时志斌副主任,樊立宏副教授,张子琦博士团队完成,首先通过关节镜在微创条件下进行半月板修整,去除引起疼痛和交锁的骨赘,对退变缺损的关节面软骨进行刨削清创后采用微骨折处理软骨缺损区,使髓内的干细胞生成纤维软骨覆盖软骨缺损区;然后于平台下方采用双平面张开截骨技术,撑开至合适角度矫正内翻,Tomofix钢板固定,术后膝关节内翻畸形明显矫正。目前患者膝关节疼痛明显减轻,功能恢复良好。
该手术在国内刚刚兴起,我省鲜有开展,采用关节镜下清理联合HTO治疗骨性关节炎,填补了早中期骨性关节炎手术治疗方面的技术空白,推动了“保膝”理念的发展。目前骨一科在膝关节骨关节炎的治疗上已成功开展了包括膝关节镜下清理、胫骨高位截骨、腓骨截骨、单髁置换和全膝关节置换在内的“阶梯性治疗”的全部技术,“保膝”和“换膝”并举,根据患者关节畸形程度、年龄和功能需求等因素,提供不同的术式选择,做到真正的“精准医疗”,为广大膝关节疾病患者带来了福音。