电话:029-87679000(总机)
地址:陕西省西安市西五路157号
邮编:710114
网址:www.2yuan.xjtu.edu.cn
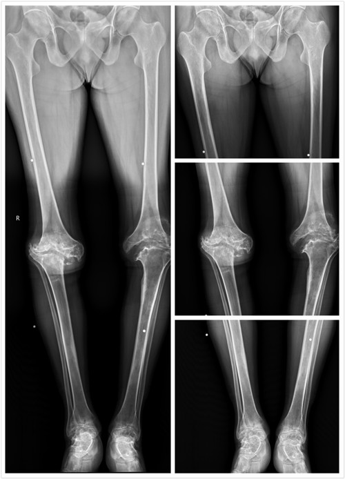
在一张照片上能观察到全脊柱一直是放射科医师及临床医师所希望的。全脊柱X线片对于脊柱侧弯的诊断、手术方案的制定、Cobb角度的测量等,都有着重要的参考价值。日前,交大二附院医学影像科购入的西班牙赛德科NOVA FA-C全自动悬吊摄影系统(DR拍片机),已顺利装机、调试和培训,该机器可一键定位(发射器与接收器一键跟随)、双板拍片(立位片与卧位片可在一个检查室进行)、自带床旁(直接在仪器旁对无法挪床的患者进行床旁射片)、图像拼接(将多张射片图像重叠合并生成全景或高分辨率图像)等新技术。



3月8日,在骨科与康复医学科的支持下,科室所有工作人员进行了图像拼接技术的培训及学习,顺利完成三例全脊柱和一例下肢全长的拼接摄影,取得了满意的效果。