电话:029-87679000(总机)
地址:陕西省西安市西五路157号
邮编:710114
网址:www.2yuan.xjtu.edu.cn
日前,西安交通大学第二附属医院神经外科完成一例颅内巨大肿瘤切除术。患者文女士在20年前就感到头痛,10年前觉得双眼视力下降,3年前右眼几乎失明,左眼也仅可有光感,在这种情况下,文女士没有采取任何的治疗。5个月前双眼球向外突出,2天前感觉头痛明显加重,伴频繁呕吐,这时文女士才觉得病情比较严重,到医院一查头颅CT,发现颅内长了一个拳头样大小的肿瘤,最大直径达到了7cm,压迫脑组织,引起了脑组织水肿,移位。

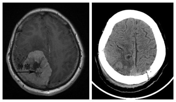
术前磁共振,提示右侧顶枕叶巨大肿瘤 术后CT,提示肿瘤已切除
病人已经在多年前出现了出现了头痛,视力下降,凸眼等许多症状,然而要等到肿瘤长到拳头样大小才来就医,我们也觉得十分惊讶。屈建强教授、周乐副教授、张熙主治医师接到病人后,为患者制定了周密的手术计划。首先为了精确定位肿瘤,我们术前应用神经导航来标记肿瘤的位置,然后根据肿瘤的位置来设计皮肤的切口;其次,术前预计手术中可能会出现大量出现,因此,术前提前准备了大量的血液,术中每一步操作都必须止血严密;另外,该肿瘤表面存在大量的血管,术中尽量保存正常的血管结构;最后,肿瘤的前方与脑功能区比邻,如果损伤到脑功能区,可能导致患者肢体感觉和运动障碍。因此,在手术操作中,严格按照脑组织与肿瘤的分界来操作,减少对脑组织的损伤。经过医护人员9个多小时的紧张的忙碌,手术获得了圆满的成功。手术后文女士恢复非常顺利,头痛,恶心等症状消失了,双眼视力明显好转,眼球突出也基本恢复正常了,并且没有出现任何的肢体功能障碍。患者和家属感到非常满意,对我们说:“真是太感谢你们了,是你们医护人员给了我们家第二次生命”。我们也觉得十分欣慰,患者的康复就是对我们医护人员最大的肯定。