电话:029-87679000(总机)
地址:陕西省西安市西五路157号
邮编:710114
网址:www.2yuan.xjtu.edu.cn
近日,西安交通大学第二附属医院心内科郑强荪院长及邓捷教授率领心脏瓣膜介入团队,首次应用雅培经导管二尖瓣夹及可操控导引导管系统(MitraClip™),成功为一例功能性二尖瓣大量反流(FMR)患者实施了经导管二尖瓣缘对缘修复手术(TEER)。本次手术由邓捷教授主刀,倪雅娟医生、张恒医生担任助手,超声引导由金鑫教授指导完成。邓捷教授团队术中于患者二尖瓣的2/1区植入1枚MitraClip™二尖瓣夹,反流由术前大量减小至术后少量,即刻效果理想,在西安交大二附院的心内科、超声科、麻醉科、介入护理团队等多学科的共同配合下,手术顺利完成,取得了成功的手术效果。

一直以来,邓捷教授团队致力于结构及瓣膜领域内疾病的诊疗与救治,此次MitraClip™疗法的开展,开拓并提升了西安交大二附院在二尖瓣疾病介入治疗领域内的技术水准,为院内中重度及重度二尖瓣关闭不全患者提供了全新的治疗选项。此外,据悉,MitraClip™疗法为国内唯一针对FMR患者通过NMPA认证过的TEER领域内器械。


患者反复出现胸闷、气短明显,多次于西安交大二附院住院治,1周前于活动后出现胸闷、气短,伴心慌,活动及平卧睡眠时加重,双下肢中度水肿。超声影像显示:患者LA约51mm,LV约60mm,EF值为32%,瓣口面积约4.5cm2,可用房间隔穿刺高度大于40mm。此外,经过食道超声精细化测量:2/1区AML长约25.4mm,PML长约11.2mm。经过邓捷教授团队多次充分的讨论评估,结合病人家属的强烈治疗意愿,最终一致性决定采用MitraClip™为患者进行治疗。
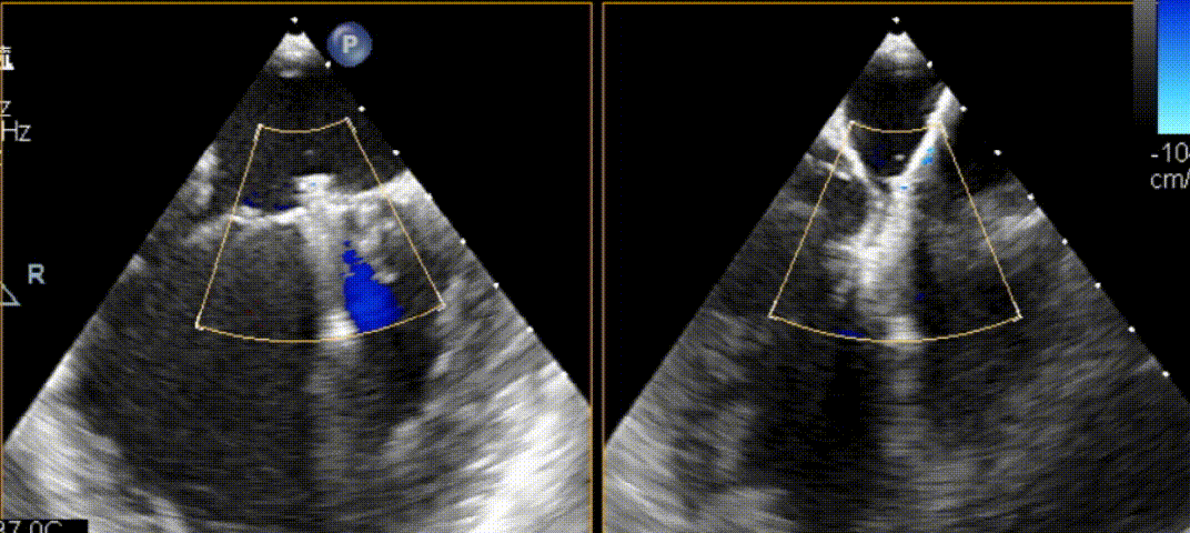
邓捷教授在食道超声的引导下将可操控导引导管(SGC)和二尖瓣夹输送系统(CDS-XTR)送入左心房,并成功将XTR推送至左心室瓣叶下方,并捕获夹合后成功释放。术后彩色多普勒显示2/1区术前的大量反流几乎消失,平均跨瓣压差为1mmHg,且患者的肺静脉逆流即刻得到改善。

XTR闭合后,彩色多普勒下反流几乎消失
随着中国人口老龄化的加重,心脏瓣膜的发病率呈逐年上升趋势,目前二尖瓣反流的患者基数庞大,而传统外科手术治疗方案,其不仅需要打开患者胸腔,还要停跳患者心脏,所以创伤大、风险高、恢复慢,TEER-MitraClip™疗法成为近年来对于外科手术高危的中重度及重度二尖瓣反流患者的新希望。我们近期成功开展了西安交通大学第二附属医院的首台MitraClip™疗法,并且取得了不错的手术效果,后续我们也会在TEER这个领域内不断积极精进,探索经验,相信用不了多久,我们的TEER技术会越来越成熟,让更多相关患者从这样的介入诊疗技术中获益。
二尖瓣反流(MR)是全球范围内最常见的心脏瓣膜疾病。当二尖瓣无法充分闭合,导致左心室收缩时血液回流进左心房,出现二尖瓣反流。患者存在各种衰弱症状,如呼吸短促、心悸、头晕和疲劳。这些患者面临生活质量差、活动明显受限、因心力衰竭反复住院和死亡率增加等风险。
MitraClip™系统是一种基于外科缘对缘修补技术的经导管治疗系统,也是首款获准上市的基于导管的二尖瓣反流治疗器械。对于二尖瓣关闭不全,MitraClip™无需开胸、创伤小、手术时间短、无需体外循环支持、手术安全性高、术后恢复快,可用于心功能严重受损、全身情况较差的高危患者。