电话:029-87679000(总机)
地址:陕西省西安市西五路157号
邮编:710114
网址:www.2yuan.xjtu.edu.cn
近日,我院骨科中心骨病与创伤病区张纯主任团队成功为一名椎动脉型颈椎病患者实施手术治疗,困扰患者8年的头晕得到根治。这一手术的成功实施再次展示了骨病与创伤病区张纯主任团队过硬的临床诊疗能力及娴熟的手术技术。
颈椎病是临床的常见疾病,特别近年来伏案工作模式的增加及手机电子产品的普及,颈椎病的发病率逐年增加。颈椎病主要分为颈型颈椎病、神经根型颈椎病、脊髓型颈椎病、椎动脉型及交感神经型颈椎病。椎动脉型颈椎病是指因颈椎间盘退行性变,钩椎关节退变增生等,致使椎动脉在经过颈椎横突孔时受压,引起的椎-基底动脉供血不全综合征。发病率相对较低,主要表现为头晕、眩晕、头痛、视力模糊、行走不稳、跌倒、饮水呛咳、吞咽困难、意识丧失等。椎动脉型颈椎因其症状不典型,临床上常需要与颅内疾病、梅尼埃病、眩晕综合征等相鉴别,且多为排除性诊断。临床上治疗多以保守治疗为主,对于头晕反复发作、保守治疗无效的患者,可尝试手术治疗,通过处理突出椎间盘及增生钩椎关节,对椎动脉进行减压,从而从根本上缓解头晕,但这个部位手术风险较大,稍有不慎容易损伤椎动脉引起大出血,甚至生命危险;且术中减压效果对术者经验要求较高,减压不彻底往往残留症状,效果不确切。

图1颅脑MR 3T平扫、头颅MR血管成像及颈部MR增强血管扫描

图2颈椎双斜位片(左侧颈5/6钩椎关节增生明显)

图3颈椎MRI(椎动脉在颈5/6层面存在受压)

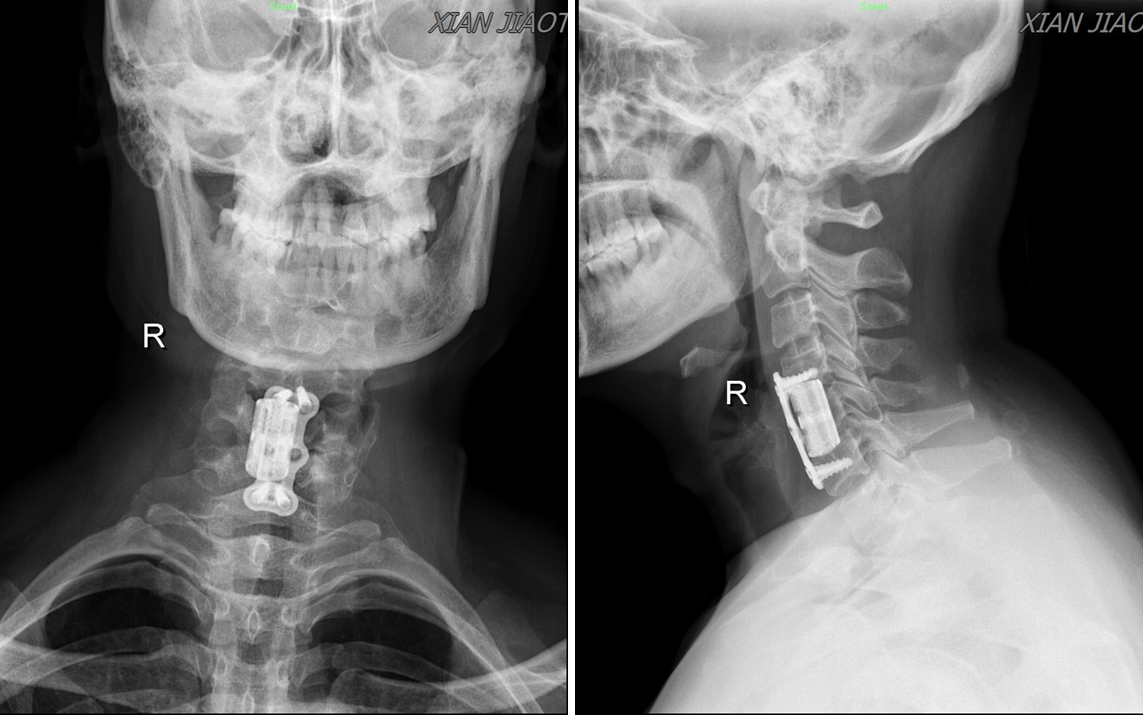
图4术后颈椎正侧位片
来自陕西省渭南市的许某被头晕症状折磨了8年之久,犯病时伴有濒死感、心慌、胸闷、气短、大汗,偶尔伴有耳鸣及听力减退等症状,十分痛苦。反复就诊于不同级别的医院,要么被误诊为颅内疾病、冠心病、或高血压等疾病,结果治疗无效;要么确诊为颈椎病,但因未接受手术治疗,导致症状反复无法缓解。1月前患者怀着忐忑的心情就诊于我院神经内科,展淑琴主任团队快速给患者完善了颅脑MR 3T平扫、头颅MR血管成像、颈部MR增强血管扫描等专科检查,均未见明显异常(图1),考虑该患者头晕可能与颅内疾病关系不大,于是联系耳鼻喉科、骨科中心骨病与创伤病区等多学科会诊。张纯主任通过详细询问病史、认真查体后初步考虑该患者头晕可能系颈椎病所致,并嘱患者完善颈椎MRI及颈椎正侧双斜位片检查进一步确认。经过仔细查阅加拍的影像学检查,张纯主任发现,患者颈4/5、颈5/6椎间盘突出严重,相应椎管狭窄;最为重要的是颈椎双斜位片上左侧颈5/6钩椎关节增生明显(图2),且从MRI轴位片上可以看到椎动脉在颈5/6层面存在受压(图3),于是向患者告知病情,并果断建议其手术治疗。患者饱受头晕困扰,鉴于张纯主任每次交流中均展现出的专业素养和工作态度,患者毫不犹豫地选择手术治疗,遂转入骨科中心骨病与创伤病区。经过骨三科护理团队专业的术前准备和医生团队详细的术前规划,在麻醉团队、手术护理团队的保驾护航下,张纯主任主刀,高宗强主任医师及李永伟博士协助,为患者实施了颈椎前路椎管减压术,术中张纯主任仔细操作,反复检查椎动脉减压效果,直至减压满意。术后3天给与患者复查术后X线片,显示非常满意(图4)。患者下地活动后发现头晕症状完全缓解,出院后1周还特地与张纯主任取得联系,告知“现在一点都不晕了”。医生的专业判断、果断决策及精准手术,加之患者的高度配合,使得手术得以顺利、成功进行。
颈椎病一直是骨病与创伤病区治疗的特色专病,病区设有颈椎专病门诊,每周都有来自全国各地的颈椎病患者慕名而来,虽然颈椎病需要手术干预的病人不是很多,但骨病与创伤病区每年要实施百余例该类手术,得到了患者和家属的一致好评和认可,同时也展示了骨病与创伤病区在该领域的临床诊疗实力。骨病与创伤病区在张纯主任带领下降继续秉承“健康所系、性命相托”的医者使命,不断提高颈椎病专病临床诊疗能力、磨炼手术技术,积极探索新技术新业务,为更多的颈椎病患者提供精准的治疗和服务。