电话:029-87679000(总机)
地址:陕西省西安市西五路157号
邮编:710114
网址:www.2yuan.xjtu.edu.cn
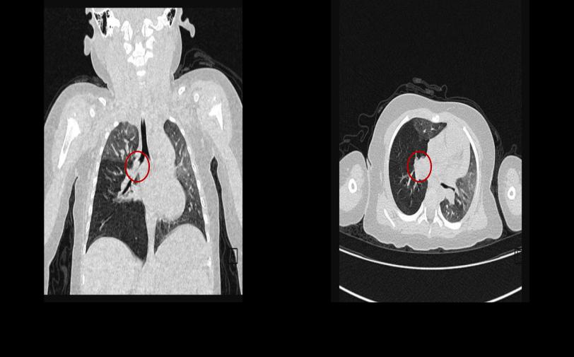
2024年2月29日下午,西安交通大学第二附属医院儿科呼吸病区收治了一名1岁3个月因误食“瓜子”后出现喘息的患儿,入院后紧急行胸部CT及支气管三维重建,发现右肺中间段支气管可见一高密影(图1),结合病史考虑支气管异物,由于患儿年龄小,气道窄,且嵌顿位置位于右肺中间段支气管开口处,取出难度大,侯伟教授立即组织呼吸专业全体医生进行充分术前讨论,为患儿制定最优的介入手术方案。


2024年3月1日上午患儿完善术前检查后,在王慧渊主治医师、高丹医师、毛华副护士长的密切配合下,应用静脉麻醉的方式,仅有用5分钟时间将右肺中间段支气管开口出异物取出。异物为一长约1cm的瓜子,取出异物后可见少量肉芽组织增生,镜下观察1分钟后未见明显出血后撤镜,术后患儿安返病房。
以往的儿童气管内异物取出主要由耳鼻喉在硬镜下完成,但对于下呼吸道异物取出,硬镜有一定的局限性。随着呼吸介入技术的发展,儿童支气管镜在气道异物取出发挥着巨大的作用,尤其是下呼吸道异物。
儿童支气管异物是一种潜在危及生命的急症,多发生在3岁以下儿童,且1-2岁幼儿为发病高峰,男童多见,是造成儿童窒息死亡的主要原因。再次告知家长们,家中有3岁以下的小朋友加强看护,尽量少吃或者不吃坚果类食物,避免悲剧的发生。