电话:029-87679000(总机)
地址:陕西省西安市西五路157号
邮编:710114
网址:www.2yuan.xjtu.edu.cn
在医学影像技术的飞速发展下,低剂量螺旋CT筛查出的肺结节数量逐年上升,越来越多的肺部肿瘤得以在早期被发现。然而,单纯依靠临床检查、影像学和实验室检查常常无法明确诊断。在肺部恶性肿瘤个体化治疗日趋进步的今天,快速、安全地获取足量组织学标本进行早期诊断,并对肿瘤进行微创而精准的治疗对于患者的预后至关重要。
近日,医学影像科在张月浪主任和丁墩副主任的精心规划与全力支持下,成功引入并实施了一系列创新性诊疗技术——CT引导下的肺结节穿刺活检、术前定位、与射频消融术,这一系列技术的实施不仅显著提升了我科在院内的影响力,更为广大患者带来了新的希望。
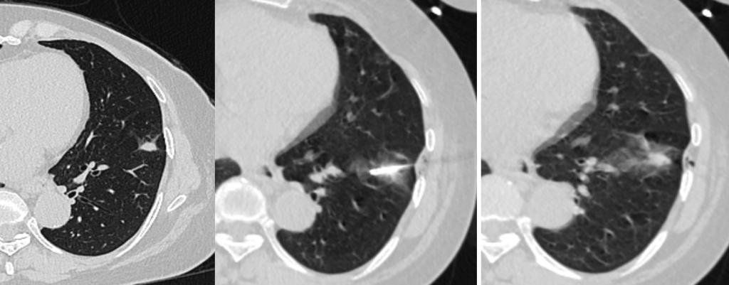
行射频消融术的患者是一名61岁的女性,2年前曾行肝内胆管癌切除术,此次入院肺部CT提示左肺下叶内基底段一大小约12*8mm高密度结节,较前对比明显增大,考虑肺转移瘤。胸外科与医学影像科专家团队进行深入讨论和综合评估,告知患者及家属具体治疗方案及替代方案后,患者及家属拒绝外科手术,决定选择CT引导下肺肿瘤射频消融术。经过周密的术前准备,医学影像科CT介入团队在CT定位引导下精准穿刺病灶位置,成功实施了射频消融治疗。手术持续约1小时,术中患者耐受良好,术中、术后未见明显出血、气胸、胸腔积液等并发症;术后达到肿瘤消融目标,且患者能即刻下床活动,不影响正常生活。


CT引导下肺结节射频消融术是近年来快速发展起来的一种微创治疗手段,在CT影像定位的精确引导下,将特制的消融电极针精准穿刺插入病灶的核心部位,通过射频电流使病变区域的组织细胞发生高速震荡、摩擦,转化为热能,使肿瘤细胞在高热状态下凝固性坏死,被机体吸收或组织纤维化,实现了不开刀消除实体肿瘤的目的。这一技术尤其适用于直径小于3cm的肺部肿瘤的治疗,疗效确切,可达到根治,且术后恢复快,切口感染几率低,费用相对较低。肺结节射频消融治疗为患者带来了更加精准、安全、高效、个体化的诊疗体验,显著提高了患者的生活质量。
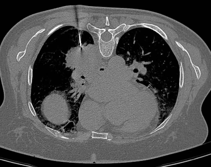
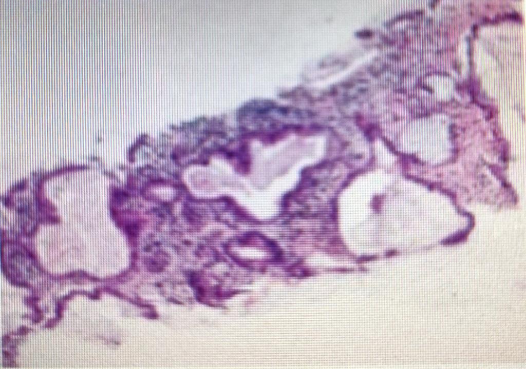
行肺穿刺活检术的是一位64岁的女性患者,两月前于当地医院行结核筛查发现结果异常,进一步行肺CT平扫发现右侧肺门占位性病变,增强扫描提示右侧肺门中央型肺癌,伴肺门淋巴结肿大,随后患者两次行支气管镜检查,结果均未见恶性细胞,仅见炎性细胞浸润,当地按结核治疗一段时间。2024年7月16日入我院行PET-CT检查提示右肺下叶背段软组织肿块,考虑恶性病变,结核不除外。肿瘤科专家团队邀请医学影像科CT介入团队进行深入讨论和综合评估后,决定行CT引导下的经皮肺穿刺活检术以明确诊断。征得患者及家属的知情同意并签字后,医学影像科CT介入团队仅使用10分钟即完成手术,术中取得3条组织后送病理,术后患者无不适,安全返回病房。几天后病理结果显示浸润性粘液腺癌。


CT引导下肺穿刺活检术是指通过CT扫描定位技术,实现了对肺部病灶的精确穿刺,获取病理样本。这一技术极大地提高了诊断的准确率,有效降低了误诊的风险。相较于传统手术,CT引导下的穿刺活检术具有创伤小、恢复快、安全性高的特点,显著降低了手术创伤,缩短了患者恢复时间,为肺部疾病的早期诊断和治疗提供了强有力的支持。

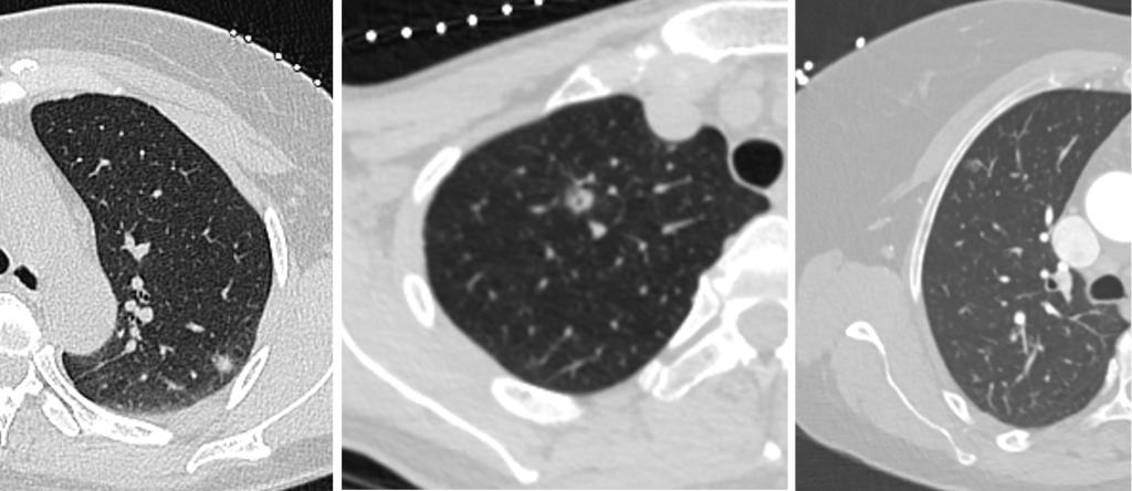
行CT引导下肺结节术前定位的几例患者均为肺内磨玻璃密度结节,且均较小,CT介入团队通过CT扫描的精准测量和定位,成功完成了手术。CT引导下肺结节术前定位技术是指在外科手术前,通过CT引导,在靶结节周围置入定位针,为手术医生在术中寻找并切除靶结节提供了精准指引。这一技术的应用,不仅提高了手术的成功率,还最大限度地减少了对周围组织的损伤。通过术前精确的定位,手术医生能够更加精准地定位到病变位置,确保手术操作的准确性和安全性,为患者带来了更小的手术风险和更短的恢复期,此外,这一技术还可以让病理科医生更准确地对标本组织进行切片,进而定性诊断。
西安交通大学第二附属医院医学影像科通过引入和实施这些诊疗新技术,不仅展示了我科在肿瘤微创诊疗领域的创新实力,也为广大患者带来了更多的治疗选择和希望。未来,医学影像科将继续致力于新技术的创新与应用,不断探索和实践新的诊疗技术,不断开拓创新,争创一流,从而为构建健康中国贡献力量,让每位患者都能享受到更加精准、高效、个体化的高质量医疗服务。