电话:029-87679000(总机)
地址:陕西省西安市西五路157号
邮编:710114
网址:www.2yuan.xjtu.edu.cn
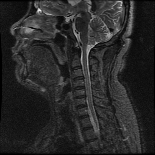
近日,一位50岁男性患者3个月前无明显诱因出现颈部及左上肢疼痛不适,症状进行性加重,休息后无明显缓解,疼痛难忍,严重影响正常生活,故到当地医院就诊,治疗上给予营养神经、止痛、中医理疗等(具体不详),效果一直欠佳,当地医院给予行颈椎MRI检查等显示:颈椎间盘膨出(下图核磁),患者就诊多家医院均认为无法明确疼痛原因,没有具体的治疗方案,后患者转至新疆自治区人民医院就诊。

患者入住新疆自治区医院脊柱一科后,虽然查体为神经根型颈椎病的体征,但核磁显示仅仅是颈椎间盘的膨出,无法解释患者左上肢抽痛不适的原因,我院驻疆专家在仔细查看患者的各项影像学检查后发现,在患者颈椎斜位片可见钩椎关节明显增生,椎间孔狭窄,虽然无法显示神经根,但凭借丰富的临床经验,杨宝辉副主任医师考虑患者左上肢抽痛原因即在于增生的钩椎关节对神经根的压迫,遂决定给予行颈椎钩椎关节切除术。
在解剖上,钩椎关节的外侧仅仅1-2mm就是颈部大血管(椎动脉),一旦损伤,可以导致大出血,患者死亡等风险。在做好术前评估即积极准备的情况下,杨宝辉副主任医师主刀给予患者进行钩椎关节切除手术,术中杨宝辉副主任医师应用神经根钩挡住外侧大血管,超声骨刀小心的切除钩椎关节,通过透视见患者椎间孔明显扩大,手术历时1小时余,出血10ml,圆满完成手术,术后患者清醒后即感觉左上肢抽痛情况消失,术后第二天下床开始康复训练,术后三天患者满意的出院,并对治疗效果大加赞赏。

驻疆以来,杨宝辉副主任医师确诊了多例疑难杂症,包括硬脊膜动静脉瘘,运动神经原病等,他以丰富的理论知识和临床经验解决了患者的痛苦,避免了患者疆外就医的不便,诠释了区中建设的意义。