电话:029-87679000(总机)
地址:陕西省西安市西五路157号
邮编:710114
网址:www.2yuan.xjtu.edu.cn
近日,一例极其危重的重症肺炎、ARDS患者在呼吸与危重症医学科重症监护治疗团队的努力下顺利康复。该患者ECMO上机31天,在多学科协作下,呼吸与危重症医学科重症监护治疗团队迎难而上,精细管理,为患者顺利康复提供坚实保障。
患者陈某,71岁,男性,因“咳嗽、发热、呼吸困难1周”于2023年09月26日入科。既往患高血压、高血压性心脏病、冠心病,曾行冠脉支架植入。患者于外院治疗期间肺部感染控制不佳,氧合状况进行性恶化,胸部影像迅速进为“白肺”,并肝功能不全,急诊转入呼吸与危重症医学科。入院后给予无创机械通气支持下床旁气管镜检查,肺泡灌洗液病原学检查明确诊断为嗜肺军团菌肺炎、ARDS。但患者对目标性治疗反应不佳,氧合状况持续恶化,2023年10月10日出现气胸,氧合指数降低至35.8mmHg,予以紧急气管插管,并行胸腔闭式引流术,患者氧合状况仍无改善,次日晨行VV-ECMO治疗。ECMO上机过程中,方萍教授带领团队成员认真分析病情,精心调整治疗方案,刘丽萍护士长带领ECMO专职护士精心护理,团队成员紧密协作,逐步解决了患者抗感染、出凝血平衡、肺外器官功能不全、胃肠功能、营养支持、内环境稳定等各个问题,患者病情逐步好转,于ECMO上机后第31天成功下机(单个膜肺连续使用31天),后续有创呼吸支持参数逐步下调,并积极予以康复功能锻炼。目前患者已顺利脱机拔管,可下床活动及经口进食,基本实现生活自理。

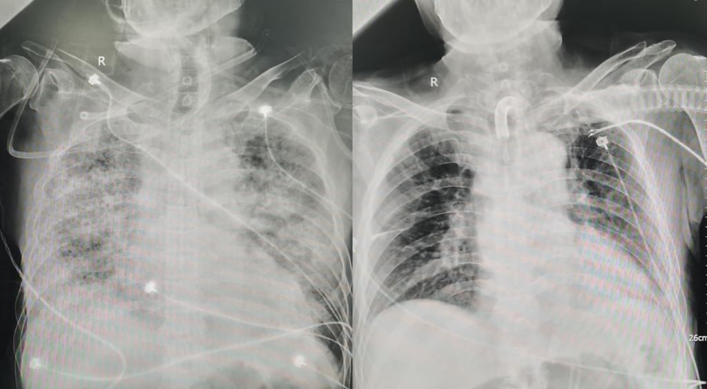
治疗期间影像学对比(左图为2023年10月5日,右图为2023年12月29日)

该患者救治期间得到了急诊科、胸外科、耳鼻咽喉及头颈外科、感染科、心内科在内的多个科室地献策助力,体现了我院雄厚的学科深度及团结协作的良好风气。呼吸与危重症医学科重症监护室治疗团队医护同心戮力,共同为患者的健康筑好最后一道屏障。
近期是呼吸道传染病的高发期,重症肺部感染发病率高、病死率高,需引起我们极大警惕。我院呼吸与危重症医学科对于危重症肺部感染患者的救治积累了丰富的经验和精湛的技术。该患者的成功救治将激励我们继续以患者为中心,努力提升医疗水平,为更多患者健康服务。