电话:029-87679000(总机)
地址:陕西省西安市西五路157号
邮编:710114
网址:www.2yuan.xjtu.edu.cn
2024年1月2日,二附院耳鼻咽喉头颈外科病院成功开展西北首例耳内镜下双手操作鼓室体瘤切除术。
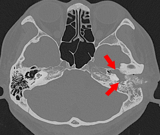
四十多岁的张女士在6月前无明显诱因出现左耳持续性“心跳声”耳鸣,听力逐渐变差,严重影响了她的日常生活。在外院诊断为中耳炎并行手术治疗,术中发现鼓室内血管瘤样肿物,为进一步寻求治疗,转投二附院,以“颈静脉球瘤(鼓室体瘤)收住耳鼻咽喉头颈外科手术治疗。该肿瘤富含血管,范围较大,充满整个中鼓室,侵犯下鼓室、后鼓室、上鼓室、鼓窦和部分乳突腔,而且系二次手术,术中出血多、手术难度大。吴宝俊教授组织团队术前讨论,制定详细的术前准备和手术方案。元旦收假后第一天,手术在吴宝俊教授的指导下由李阳副教授主刀,在麻醉科张珍妮副主任医师、手术室张曦主管护师、耳鼻喉科杨飞轮,加伟、强茵医师的全力配合下顺利开始,并全程在耳内镜下经耳道双手操作完成,耗时3小时40分,完全切除肿瘤,并同期进行听力重建,出血不到50ml。术后第一天患者耳鸣完全消失,听力提高,术后第三天,顺利出院。



鼓室体瘤,即鼓室颈静脉球副神经结瘤,临床少见。根据其来源和范围,分为FischA、B、C三型。本例患者系B2型,既往需要耳后切口行显微镜下手术,创伤较大。而传统的耳内镜手术,因单手操作难以控制肿瘤的汹涌出血。本例手术采用双手操作,有效的解决了此问题,也是吴宝俊、李阳副教授团队自2018年成功开展西北首例耳内镜下单手操作鼓室体瘤(B1型)切除术后的又一次创新,手术创伤更小、时间更短、出血量更少。近年来,耳鼻咽喉头颈外科病院在任晓勇主任的带领下,不断开展耳内镜下创新技术、挑战疑难手术,树立耳外科微创手术的品牌形象,不断带动了学科的整体发展,也为患者提供更加优质的诊疗方案。