电话:029-87679000(总机)
地址:陕西省西安市西五路157号
邮编:710114
网址:www.2yuan.xjtu.edu.cn
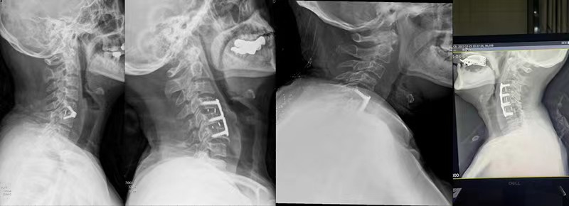
近日,我院骨科驻疆专家杨宝辉副主任医师完成一例严重脊髓型颈椎病手术,术后效果良好,患者及家属非常满意。
该患者为54岁维吾尔族男性,患者入院时行走已经较为困难,需家人搀扶,四肢无力、僵硬伴左上肢剧烈疼痛3月,因为手术风险极大,慕名新疆维吾尔自治区人民医院驻疆骨科专家前来就诊。杨宝辉医生接诊时发现该患者约80%的脊髓被突出的椎间盘及部分钙化物压扁,手术难度高,风险系数大,术中极有可能出现四肢瘫痪,缺血再灌注损伤等,这些无疑表明这是一个风险极高,难度极大的手术。但手术是患者唯一的选择,是挽救患者神经功能的唯一希望,在困难面前杨宝辉副主任医师决定迎难而上。

为了最大程度减少术中创伤,最终选择了颈前路单间隙减压植骨融合内固定的手术方式,并于2024年1月7日如期进行。术中杨医生发现椎体后缘几乎没有间隙,他机智地选择超声刮勺及神经勾巧妙配合,刮除钙化组织并缓慢勾出脱出的椎间盘组织,彻底显露硬膜及双侧钩椎关节,实现了彻底减压并置入融合器,最终神经诱发电位显示波幅上升,标志着手术的圆满成功。

近1月来杨宝辉副主任医师已经完成近10例难度较高的颈椎病手术,其中有单节段,有双节段,甚至三节段,既有单纯椎间盘突出,又有后纵韧带骨化症等,手术方式既有ACDF、ACCF等,他以其精湛的艺术赢得了患者的肯定和区医院医生们的尊敬,为区中建设起到了良好的助推作用。