电话:029-87679000(总机)
地址:陕西省西安市西五路157号
邮编:710114
网址:www.2yuan.xjtu.edu.cn
近日,消化内科内镜肿瘤诊治及超级微创手术团队成功开展了一例腹腔囊肿内镜切开引流术,即NOTES术。该病例成功开展,填补了医院在该术式上的空白,开创了二附院内镜超级微创手术的新“镜”界。
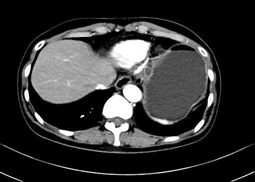
患者,66岁,女性,平素身体健康,以“发现胃肿物2年余”主诉入院,既往于外院行电子胃镜检查发现胃底隆起,直径约1.5-2.0cm,超声内镜检查考虑黏膜下来源间质瘤可能,不除外壁外病变压迫。外院CT提示胃底浆膜下囊性病变可能。患者及家属诊治心切,辗转数家医院后为求内镜下治疗遂来二附院。入院后在消化内科再次超声内镜检查,提示胃壁增生病变可能,增强CT提示胃底胃壁增厚,结合内镜检查。患者及家属强烈要求内镜下探查及病变切除术。术前在王进海主任的指导组织下,进行了专业组内及多学科讨论,与患者及家属充分沟通后,决定行内镜下切开探查及病变治疗术,必要时可行内镜-腹腔镜联合手术(LECS)。邹百仓教授带领内镜下肿瘤诊治及超级微创手术团队施行手术,术中逐层切开胃壁黏膜层及黏膜下层,暴露固有肌层,未发现胃壁病变,遂切开胃壁全层,局部腹腔探查,切口附近腹腔内似韧带组织上发现半球形隆起,表面透亮光滑,大小约1.5X1.5cm,术中请外科李军辉及袁庆攻教授会诊后确诊为囊性病变,讨论后建议可以观察或内镜切开引流,与患者家属沟通后家属强烈要求切开引流,遂用内镜切开刀切开囊肿,引流少量清亮囊液,囊肿塌瘪,观察囊肿切口及局部无出血,切除局部部分胃壁组织送检,内镜下严密关闭切口,留置胃管后,返回病房,常规对症治疗1周,患者无并发症发生,正常出院。

上腹部增强CT 超声内镜

胃底SMT样隆起 内镜下切开刀行胃壁全层切开

腹腔内囊肿 腹腔内囊肿近景

囊肿切开引流,囊壁塌陷 内镜下胃壁全层缝合
NOTES手术全称为自然腔道内镜手术(Natural Orifice Translumenal Endoscopic Surgery),是近年来提出并不断完善的一类的新内镜技术。它利用人体自然腔道,如食管、胃、结肠、阴道、膀胱等作为手术路径,通过内镜将手术器械送入纵隔、腹腔及盆腔等腔隙的病灶部位进行手术操作。该手术的特点是体表无创伤的超级微创手术。随着理论法规的不断完善和手术设备发展及术式的拓展,国内少数医院内镜中心逐步开展了纵隔及腹腔肿瘤切除术、内镜保胆取石术、胆囊息肉切除术、内镜胆囊切除术、内镜腹腔囊肿切开引流术、内镜阑尾切除术等NOTES,引领着国际NOTES的发展。
本例NOTES手术的顺利开展,标志着二附院在微创手术领域有了新突破,逐步达到国内先进水平,为进一步开展其他NOTES手术做出了有意义的探索。