电话:029-87679000(总机)
地址:陕西省西安市西五路157号
邮编:710114
网址:www.2yuan.xjtu.edu.cn
降低外地就诊率,减少患者就诊费用,让老百姓在家门口享受优质医疗服务,是国家区域医疗建设的根本目的和初衷。
李女士长期为左膝关节疼痛所困扰。她71岁了,退休赋闲在家,子女都孝顺听话,儿子在首都北京有一份令人羡慕的工作,事业有成。但膝关节疼痛使她不能同多年的朋友一起做老年经常做的健身运动、甚至散步都受影响。家人给她联系了北京大医院,儿子提供了北京就医便利条件,随时都可以方便就医。但她觉得故土难离,小家难舍,不愿意劳师动众。另外,她有一个心结:不愿意做大手术,对手术充满恐惧。


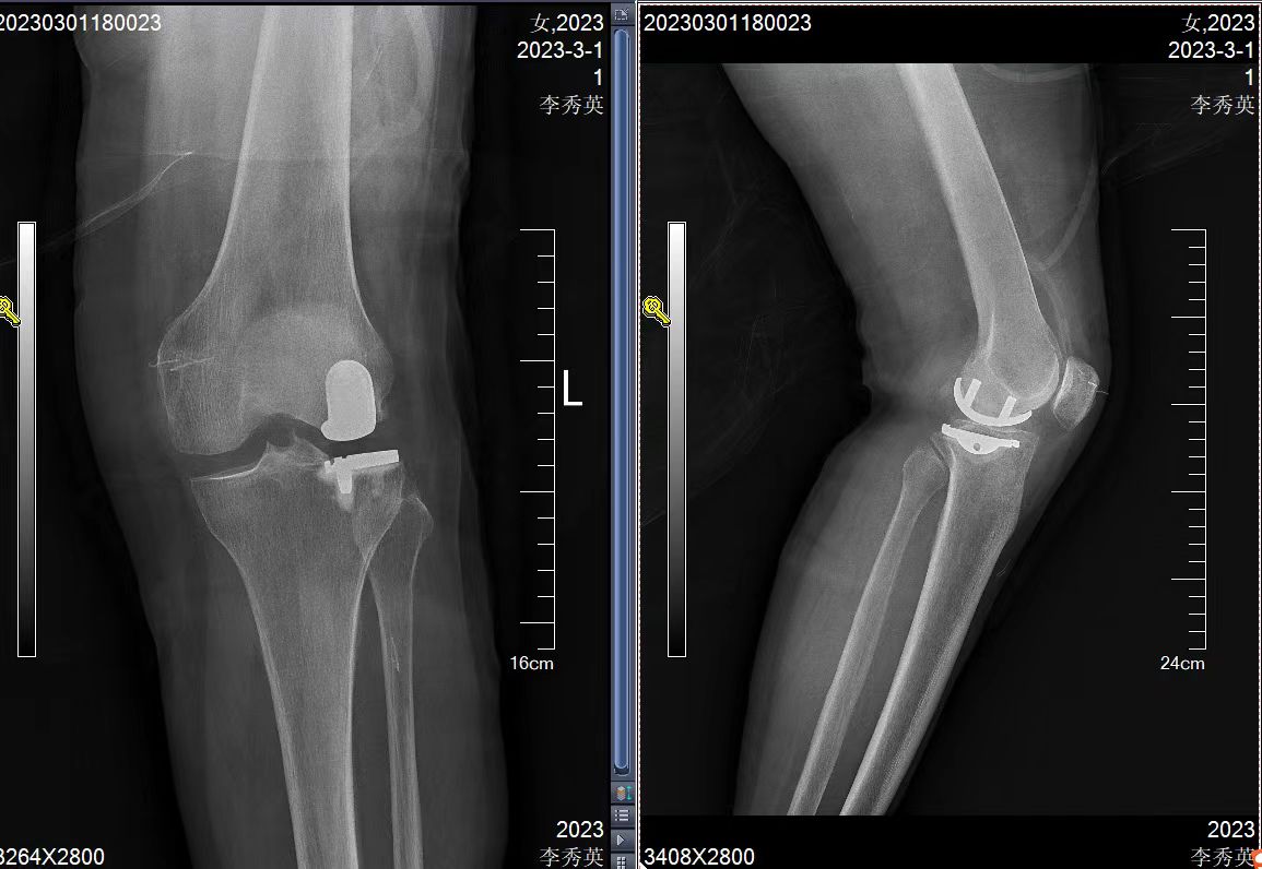
得知西安交通大学第二附属医院王伟教授在洛阳中心医院骨科长期驻科工作后,她抱着试一试的心态来到洛阳市中心医院骨科。王伟教授分析了她的病情:左膝外侧半月板磨损坏了,膝关节外翻变形,而关节其他部分还功能良好,完全可以采用微创保膝手术,保留自己膝关节的大部分。骨科团队给她量身订制了手术方案:外侧单髁关节置换术。家属也联系了北京著名医院的大专家,完全认可手术方案。王伟教授用国际先进的专业术前规划软件,提前进行术前设计,精准预判关节假体大小和安装位置,最终手术仅需7厘米的切口,单髁置换,保膝治疗,取得了康复复周期短,功能恢复好的效果。术后洛阳中心医院骨科王伟民主任、郭哲医师经过数月的耐心随访,解决患者康复中的问题,患者完全恢复了正常生活。精准医疗,量身定制,不仅为患者解决了病痛,而且不必千里迢迢,辗转北京求医。
邢先生的看病经历堪称传奇。邢先生63岁,青年时期的一次意外造成他右大腿骨折,因缺医少药,结果大腿畸形愈合,右腿短缩,但个性要强的他用辛勤劳动支撑了偌大的一个家。因积劳成疾,五十多岁时,他的双膝关节早早就磨损坏了。6年前他花尽积蓄,在老家开封做了双膝关节置换术。但好景不长,半年前,他的左膝关节明显疼痛,左侧小腿大片皮肤异常暗红色,逐步蔓延。依靠扶双拐强忍疼痛才能勉强行走200米。他辗转多地,四处求医,从开封到郑州,然后慕名来到洛阳,多数骨科专家诊断结论是:他的左膝关节假体松动了。但什么原因造成松动?是低毒感染,还是无菌松动?如何挽回患者的膝关节功能?他的治疗陷入了困境。大多数专家认为需要手术分两期进行:先手术取出原来的关节,控制感染,然后过3个月后再二期手术,安装新的关节假体。郑州专家给出的手术预算:患者需要两次手术,自费花费十余万元。这对于一个贫困家庭来说,可以说是雪上加霜。洛阳市中心医院王伟民主任接诊患者后也非常为难。
患者在省内辗转多家医院,得知王伟教授在洛阳市中心医院骨科工作,相信困难会被解决。王伟教授率领骨科关节团队,仔细分析病情,观测炎症指标,并邀请西交大二附院骨科全国骨科顶级专家,中华医学会骨科分会候任主任委员王坤正教授团队远程会诊,做出最终研判:患者并非关节感染,是由于左下肢长了4厘米,长期关节不平衡,造成患者左膝关节机械性松动。如何翻修手术,刘营杰主任提前精细测量患者下肢畸形角度、下肢长度,做出术前规划,提前定制矫形鞋,纠正下肢不等长。王伟教授、王伟民主任制定术前预案,一期做了左膝关节翻修手术,术后证实,患者诊断完全符合术前判断。经过两周的精心护理,患者顺利出院。术后1个月复查,患者已完全脱离了拐杖,恢复了正常生活。患者从10万余元的预算到最终花费5万余元,为患者减轻了经济负担,精准的诊断为患者缩短了治疗时间。



借助“打造国家域医疗中心”的东风,如今王伟教授在洛阳市中心医院驻科工作已经超过1年了。他为洛阳带来了骨性关节炎保膝治疗理念,带来了精准骨科、数字骨科和骨科机器人等先进技术,创建数字骨科实验室等一系列开创性工作,使洛阳人民足不出户,同样可以接受国家级医院的医疗服务。