电话:029-87679000(总机)
地址:陕西省西安市西五路157号
邮编:710114
网址:www.2yuan.xjtu.edu.cn
第9批陕西援藏医疗队队员马师洋副主任医师近日为一例腹痛患者进行诊断,确诊为间位结肠,这是阿里地区人民医院首次诊断这一疾病。
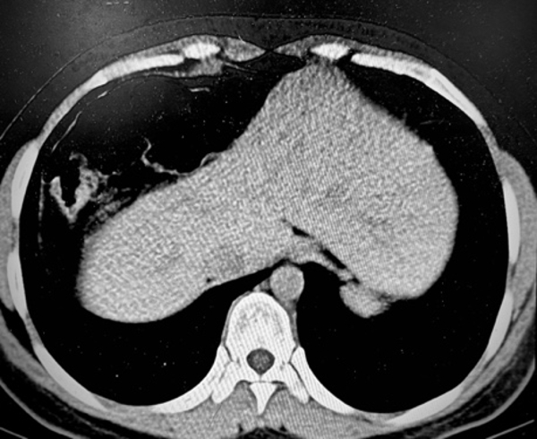
近日一位美丽的藏族姑娘因间断上腹及右上腹痛找到了援藏消化专家马师洋教授,患者在门诊已经先后化验了常规项目与超声、胃镜,但没有找到能够解释腹痛的病因。疼痛发作的时候非常明显,伴随腹胀、便秘。马师洋教授仔细询问了患者病情特点,建议患者完善腹部CT检查,在CT影像中可以看到充气的结肠影突入肝脏与横膈之间,这一表现支持间位结肠的诊断。

间位结肠系由希腊学者Demetrius Chilaiditi。于1910年首次报道,亦称Chilaiditi综合征,指结肠(多为肝曲)由肝前间隙或肝后间隙进入肝脏与横膈之间,其成因并不在结肠本身,肝脏下移和位置异常为其形成基础。常见肝脏韧带过长、薄弱、缺无等发育异常致肝脏下移,使肝膈间隙增大,以致结肠嵌入其间。间位结肠发病率为0.025%~0.28%,本病通常 无症状,部分患者表现为季肋部隐痛、厌食、腹胀、便秘,嵌入结肠发生梗阻或扭转时,可突发剧烈上腹痛、恶心呕吐、呼吸费力等症状,数小时 至数日后消失,多于活动后突然缓解,休息、通便、促进胃肠动力等内科保守治疗常可见效,内科保守治疗无效时,可考虑外科手术。
主管医生司晓华和患者详细的说明了病情,通过几天的保守治疗后,患者症状完全消失,并且已经回到工作岗位。在进藏接近两个月的时间内,援藏专家们面对疑难复杂疾病,发挥了以往工作中积累的宝贵经验,同时也在不断的学习,不断迎接新的挑战。阿里高原不但是医疗队的考场,也是所有援藏队员的战场,无所畏惧才能一往无前。