电话:029-87679000(总机)
地址:陕西省西安市西五路157号
邮编:710114
网址:www.2yuan.xjtu.edu.cn
新疆的杨阿姨平素身体很好,但近半年来出现了两次咯血,无胸闷气短,无声嘶、呛咳,无吞咽疼痛、吞咽闲难,在当地医院就诊,喉镜发现声门下主支气管暗红色新生物,气管内活检病理示: (气管活检)浸润性腺癌,在省内外多家医院耳鼻喉科及胸外科就诊未果,辗转到我院就诊,任晓勇主任在门诊接待了杨阿姨,仔细评估过后,任主任认为可行手术切除肿瘤并重建气管,与杨阿姨及家属沟通情况后收住入院。
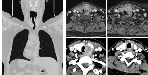
入院后,我们围绕病灶性质、受累器官等开展相关检验检查,影像学发现肿瘤侵犯气管气管高度45mm、侵犯气管环周长1/2以上、最窄平面宽度5.66mm、最窄平面距声门30mm。除此之外,环状软骨、食管肌层、喉返神经不同程度的受到侵犯。与此同时,甲状腺穿刺活检提示乳头状癌,气管活检病理会诊提示气管粘膜甲状腺乳头状癌浸润,因此术前诊断为局晚期甲状腺恶性肿瘤。诊断明确了,那么如何治疗呢?

肿瘤侵犯气管、食管、环状软骨
在任晓勇主任的组织下,进行了联合麻醉科、胸外科、影像科及重症医学科的多学科讨论,重点就手术方式、术中麻醉插管、套管更换、术后气道管理等展开了讨论,制定详细周密的围手术期管理措施。与患者及家属沟通病情后,于2023年9月18日进行手术。手术当日,在麻醉科李伟主任、张晓琴主任医师、罗斌主治医师等的大力支持下,在未使用ECMO支持下,顺利完成手术麻醉。


任晓勇主任带领闫静主治医师、赵君杰住院医师在全麻下进行了手术,手术室王凯东及成红柱全力配合,术中发现肿瘤侵犯气管达5cm,侵犯部分食管、环状软骨,包裹喉返神经,顺利完成了功能性颈淋巴结清扫术+甲状腺癌扩大根治+气管袖状切除端端吻合。术后杨阿姨转至重症监护,在王岗主任医师、赵玉杰医师、石晶医师团队进行术后恢复,行呼吸机辅助呼吸,第六日逐步脱机后拔出气管插管,返回普通病房。之后杨阿姨逐渐康复,摆脱氧气、下床活动、经口进食,顺利出院,那个乐观的杨阿姨又回来了。

局部晚期甲状腺癌的治疗应在根治肿瘤和提高生活质量间取得平衡,合理应用损伤控制和加速康复外科理念。局部晚期甲状腺癌手术范围较广,手术时间较长,手术创伤较大,手术、麻醉诱导、插管、拔管风险较高,甚至术中术后需要特殊处理,如气管切开或气管切除重建、喉切除、胸骨壁开、食管切除重建、大血管分离或切除重建、皮瓣转移或移植等,极少数病人可考虑分期手术或重建。在保证手术安全的前提下,尽可能完成R0切除,可明显延长生存期,降低复发率。对于重要组织或器官的重建须慎重,须严格控制手术并发症,如声音嘶哑、永久性甲状旁腺功能减退、术后大出血、创面感染、乳糜漏、窒息、食管痿、皮瓣坏死。
西安交通大学第二附属医院耳鼻咽喉头颈外科病院咽喉-头颈外科团队12人,博士研究生导师3人,硕士研究生导师1人。诊疗疾病涵盖咽、喉、气管、颈段食管疾病以及各种头颈部良恶性肿瘤,年手术量2000余例。自上世纪五十年代开展西北地区第一例喉全切手术以来,西安交大二附院耳鼻咽喉头颈外科病院在头颈肿瘤诊疗领域开拓进取,尤其是近10年,治疗范围迅速扩展并与国际接轨,喉癌、下咽癌、颈段食管癌、甲状腺癌在手术根治的基础上最大限度保留器官功能,同时陆续开展颊癌、舌癌、牙龈癌、颌骨肿瘤、腮腺肿瘤等口腔颌面恶性肿瘤的联合根治手术及皮瓣移植修复,提倡综合治疗、微创手术、快速康复外科、器官功能保全等先进理念,在实践中取得良好成绩。