电话:029-87679000(总机)
地址:陕西省西安市西五路157号
邮编:710114
网址:www.2yuan.xjtu.edu.cn
2023年9月12日,西安交通大学第二附属医院骨三科病房里,一位颈椎间盘突出的患者接受了颈椎ERAS手术治疗。从11日入院,12日手术,15日上午拆线出院,整个治疗过程仅仅历经5天。骨三科颈椎手术实现了快速康复,优化流程,缩短住院时间,减低费用,提高患者满意度。
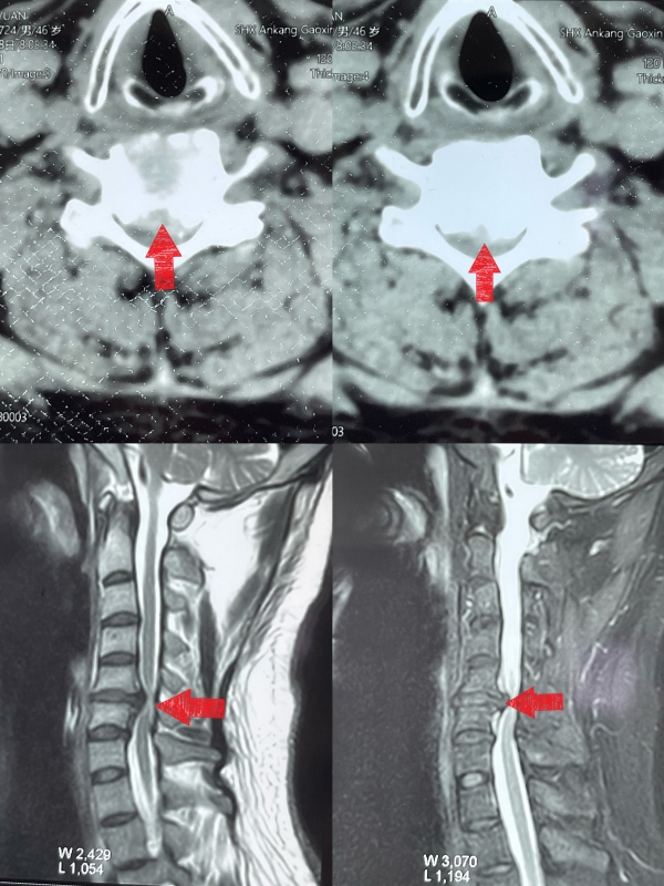
该患者为46岁的男性,长期受到颈椎疼痛的困扰。此次疼痛加剧后,明显出现双下肢无力行走不稳,双上肢麻木及疼痛,于是他慕名来到西安交通大学第二附属医院骨三科就诊。经过详细的检查和影像学检查后,王伟卓医生发现患者颈椎间盘突出压迫了脊髓神经组织,导致颈部疼痛难忍、活动受限等症状。

为了迅速缓解患者的症状,经过评估,王伟卓主任医师建议患者纳入颈椎间盘突出ERAS手术流程。这种手术是通过切除压迫神经组织的突出椎间盘来恢复其颈部的正常功能。12日在手术过程中,张纯主任主刀、王伟卓主任医师、黄思华医生配合,使用了精细的技术及精湛的技艺,逐层切除了突出的颈椎间盘,并植入了零切迹人工椎间盘,完成了颈椎椎间融合,同时保留了周围组织和器官的功能。经过2个小时的细致操作,终于完成了这次复杂的手术,最终术中出血量仅50ml,全程未输血。

ERAS surgery快速康复外科(ERAS)理念是一种基于多学科循证医学证据的围手术期管理策略,旨在通过一系列优化措施减少患者手术应激反应从而加速患者康复及提高患者手术主观舒适度。尤其适用于老年人和那些不能接受较大风险的患者。颈椎前路手术围手术期ERAS提倡采用医护麻康复一体化的多学科协作诊疗模式,该模式从患者入院后的综合宣教开始,通过宣教使患者了解手术、麻醉、护理、康复过程,熟悉颈椎前路手术围手术期的相关知识及注意事项,掌握正确的康复锻炼方法、自我评估方法,缓解患者的心理压力,从而提高患者的依从性。在这个病例中,患者的年龄和健康状态都适合进行这种手术。 在门诊咨询问诊时,王伟卓主任医师告知患者术前戒烟4周。开展术前谈话时,需明确手术方式,告知患者手术的目的是扩大颈椎管容积,解除脊髓、神经根受压情况,为神经功能的恢复创造条件。如患者本身的脊髓或神经根存在病变,可能出现术后症状缓解不明显或进行性加重的情况,从而调整患者对手术的期望值。骨三科护理团队术前告知患者手术着装要求、术前禁食禁饮时间、围手术期注意事项等内容,张格林护士长为患者行疼痛知识宣教及心理疏导,要求患者“八个学会”,即术前必须学会:疼痛自评、床上排便训练、气管推移训练、有效咳嗽排痰方法、颈部支具的穿戴、正确的日常生活姿势、正确翻身和起床的方法、颈椎康复训练方法等。吴玮护士长通过健康宣教,增强患者的自信心,调动患者参与诊疗过程的积极性,提高对加速康复的愿景。
ERAS颈椎前路手术术后的观察、处理很重要。术后24 h内为并发症多发的危险期,必须高度重视。术后观察由医师及病房护士共同完成,主要包括生命体征、切口情况、神经功能、引流管情况等。为方便术后观察,切口应采用轻薄敷料覆盖,发现异常情况及时处理。 术后黄思华主治医师结合患者病情、伤口、疼痛以及管道拔除情况,强调康复治疗的早期介入、早期离床活动、减少患者心理恐惧。围手术期以深静脉血栓预防、促进局部伤口组织液吸收、呼吸训练、正确转移方式教育为主。术后早期离床活动应尽量在拔出引流管当天进行。出院时评估病患情况,制定相应的康复训练计划,逐渐增加步行训练、四肢及核心肌力训练、协调性以及稳定性训练。
新技术、新业务的开展不仅体现的是技术的更新,更重要的是科室对疾病的认识、治疗理念的更新。这符合骨科发展方向,脊柱快速康复外科新理念,也符合科室发展的要求。