电话:029-87679000(总机)
地址:陕西省西安市西五路157号
邮编:710114
网址:www.2yuan.xjtu.edu.cn
近日,眼科联合肾病内科及输血科成功开展双重血浆置换治疗1例重症视神经脊髓炎相关性视神经炎,拯救了患者视力,为患者重新带来光明。
39岁的李女士,平素身体健康,3天前突然左眼视力急剧下降,伴有眼球疼痛及左侧头痛。患者急来眼科王建明教授门诊,来院时查左眼视力降至指数/眼前,且视力下降逐渐加重。王建明教授仔细检查后,发现患者左眼瞳孔对光反射迟钝,RAPD(+),视盘水肿,左眼下方视野缺损,结合病史,考虑患者为视神经炎(待分型),紧急收住入院。


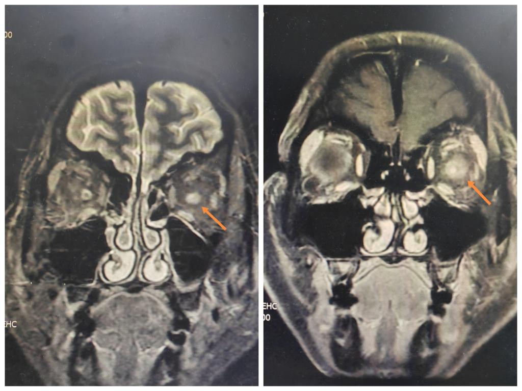
入院后王建明教授、范雅稚副主任、邢瑶主治医师为患者制定了详细完善的诊疗方案,各项眼科检查、眼眶MRI、全身检查均快速进行,争取在短时间内明确诊断,为患者的治疗争取宝贵的治疗时间。入院第三天,患者左眼视力仍持续下降,左眼仅存光感。团队的每一位医师与患者一样心急如焚。此时,患者头颅及眼眶MRI结果提示:眼眶MRI提示左眼视神经肿胀增粗,T2高信号伴T1强化明显。血清中枢脱髓鞘抗体提示:抗AQP4抗体阳性,结合各项眼科检查结果,明确诊断:左眼视神经脊髓炎相关性视神经炎(抗AQP4抗体阳性)。排除糖皮质激素使用禁忌后,王建明教授团队为患者制定了甲泼尼龙静点1 g/d后剂量阶梯减半的激素序贯治疗方案,并联合营养神经、改善循环药物治疗。然而7天后,患者左眼视力仍为手动/眼前。由于患者对糖皮质激素治疗反应差,充分与患者沟通后决定联合血浆置换治疗。请肾病内科及输血科会诊后,得到两个科室大力支持。血浆置换过程中,肾病科、输血科为患者提供了专业的技术支持,克服了血浆制品缺乏等各种困难。眼科护理团队积极配合,全方位监护,每次置换结束后复查各项指标进行安全性评估。通过三个科室的通力配合,患者完成了双重血浆置换,隔日一次,共四次。第四次置换结束后,左眼裸眼视力0.02。出院后,患者左眼视力持续恢复,眼痛及头痛症状明显改善,视野缺损范围较前显著缩小,复查血常规、肝肾功电解质、凝血功能无明显异常,眼科门诊密切随访。
治疗性血浆置换(therapeutic plasma exchange,TPE)是治疗性血液成分置换术中一种重要的临床治疗手段;TPE被用来去除致病性的大分子物质如抗体、异常血浆蛋白或其他成分,其目的是通过降低循环中的这些大分子物质来改善疾病进程。目前血浆置换已应用于视神经脊髓炎相关性视神经炎等多种疾病的治疗。中国视神经炎诊断与治疗指南推荐早期应用血浆置换对AQP4抗体阳性患者有一定疗效。本例患者在激素冲击治疗7天效果不佳的情况下,经过4次血浆置换后左眼视力显著提高,且治疗过程中未出现严重并发症。对于急性期重症NMOSD相关性视神经炎且恢复不佳者,特别是AQP4抗体阳性者,联合血浆置换获得了较好疗效。
本次,眼科医护团队联合多学科,通过及时明确的诊断,专业全面的技术,为患者带来了好的视力转归,拯救了消失的视力。该项技术的顺利实施,标志着我院眼科对视神经脊髓炎患者的治疗手段更加完善和全面,位列全国先进水平,为视神经炎患者带来了更加高质量优质的医疗服务。眼科也将继续探索视神经损害救治和视觉康复训练的新技术新方法,把我院眼科打造成区域救治和康复中心。
神经眼科团队门诊时间:
王建明主任医师:周一上午周四上午
范雅稚副主任医师:周一下午周五上午
邢瑶主治医师:周二上午