电话:029-87679000(总机)
地址:陕西省西安市西五路157号
邮编:710114
网址:www.2yuan.xjtu.edu.cn
2023年8月23日,西安交通大学第二附属医院小儿外科李鹏教授团队成功完成一例先天性巨结肠术后陈旧性直肠吻合口瘘内镜治疗,对于该项疾病的治疗探索出一条非常有意义、非常有实用性、非常微创的治疗方法,给患有该疾病的患儿带来了福音,也代表了二附院小儿外科李鹏教授团队在小儿肛肠外科微创技术上再次突破,也标志着李鹏教授团队在该项领域的临床研究进入一个更高层次和阶段。
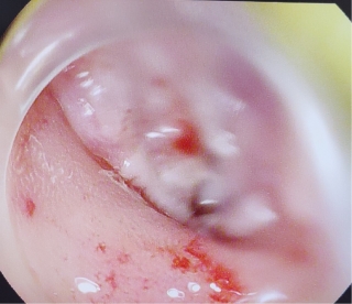
10岁男性患儿,5年前因先天性巨结肠术后出现吻合口瘘,5年来先后经历了6次较为复杂的手术,吻合瘘仍没有痊愈。腹部、会阴部、骶尾部都有手术切口。医生已“无路”可走,似乎终生肠造瘘是患儿和家长唯一的选择。李鹏教授团队根据团队对小儿肛肠外科微创技术临床和基础研究的基础上,经过充分论证,提出来用内窥镜治疗该项疾病大胆设想。查阅文献,国际上也未有先例。
为了保证手术的成功,经过和消化科、麻醉科、儿科、普外科等多学科反复和讨论,力求理论可行、技术可行、风险可控。经过充分的讨论和术前准备,2023年8月23日在麻醉科张珍妮教授和冯诚医师及消化科内窥镜室工作人员的配合下,与消化科邹百仓教授合作,李鹏教授团队完成了国际首例先天性巨结肠术后陈旧性吻合口瘘的微内镜。术程定位准确,微创精准,效果可靠,风险可控,未发生任何并发症,术后患儿恢复顺利。
二附院小儿外科肛肠外科诊疗技术始终处于国内领先地位,一直是中华小儿外科学会肛肠外科学组组长、副组长单位。近年来,在高亚教授和李鹏教授带领下,无论是基础研究还是临床研究,均取得了傲人的成绩,开创了多项国内领先的技术,造福了一方患儿。

图1.治疗前

图2.治疗后