电话:029-87679000(总机)
地址:陕西省西安市西五路157号
邮编:710114
网址:www.2yuan.xjtu.edu.cn
53岁的邓女士近10年一直受困于右耳听力下降,且伴耳鸣,该声音和心跳节律一致。但未予重视。近1年来,右侧头部胀痛明显,已经严重影响到了正常生活。在当地医院检查后,发现为右侧颈静脉孔区占位,高度怀疑为颈静脉球瘤,但因此部位手术难度极大,家属辗转多家医院,经多方打听,来到我院耳鼻咽喉头颈外科就诊。
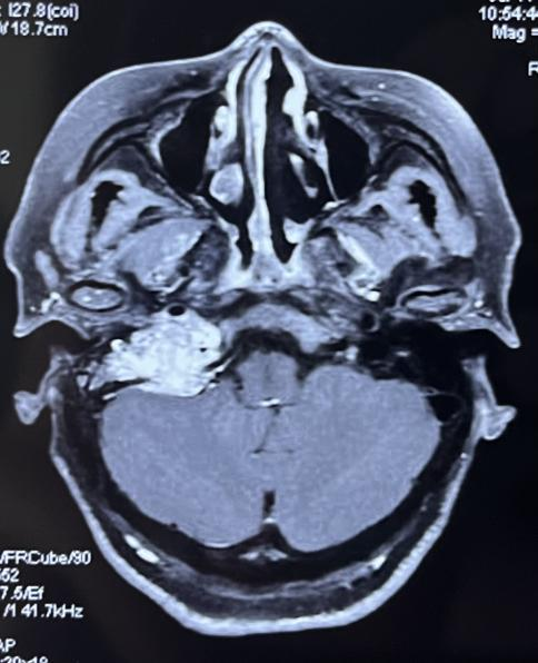
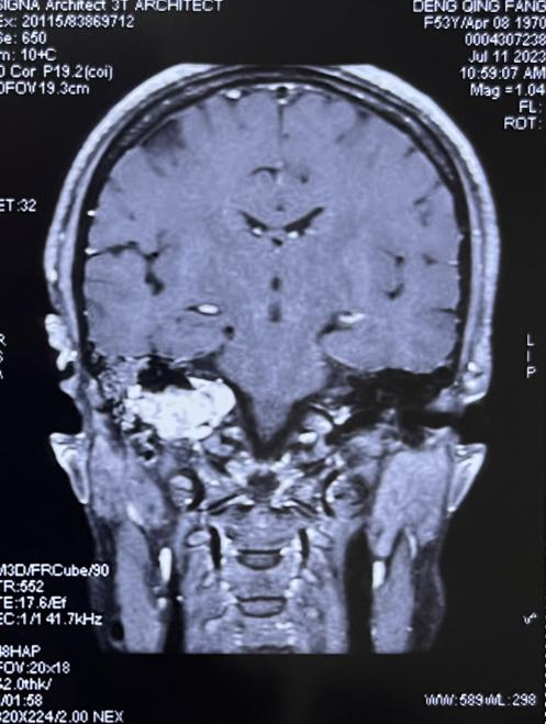
颈静脉孔区为侧颅底解剖最复杂的区域,该区域手术极其复杂,难度系数大,手术风险高。患者术前检查示右侧颈静脉孔可见不规则团块,等T1稍长T2信号影,大小约35mm*28mm*30mm,病变边界不清,内见多发迂曲血管,临近软脑膜可见明显强化(图1、2)。因肿瘤范围大,手术难度及并发症发生率极高,因此该患者入院后进行全面评估,并在耳鼻咽喉头颈外科主任任晓勇教授主持下,进行全院MDT讨论,麻醉科吴刚教授,神经外科许刚教授,以及全体耳鼻喉科医生进行疑难病例讨论。最终确定采用颞下窝typeA入路行肿瘤切除,并行外耳道封闭术。
由于该类肿瘤供血极为丰富,8月16日,我院神经外科许刚教授团队首先对肿瘤供血动脉进行栓塞,以减少术中出血。8月17日,由马伟军副主任医师主刀,成颖副主任医师、张燕妮住院医师、靳丹丹住院医师,麻醉科吴刚主任医师、赵红霞副主任医师、蒋文军医师、以及手术室护士赵博韬、常旺军等多学科通力合作下,按照原定计划采用颞下窝typeA入路,历经10小时将肿物顺利切除,完整保留了肿瘤周围的重要神经结构,副神经及后组颅神经,术中出血600ml。术后邓女士的病情平稳,右侧头痛明显减轻,无声音嘶哑及吞咽困难,肩部活动也无异常。经过7天的恢复治疗,已顺利拆线出院。
颈静脉球瘤是侧颅底外科领域最具挑战性疾病之一。该疾病起源于颈静脉球体外膜以及沿迷走神经耳支和舌咽神经鼓室支等部位分布的副神经节肿瘤。发病高峰年龄为41~70岁,女性多见,多为单发,生长缓慢,病程可长达数十年。该病属于良性肿瘤,但由于其位置特殊、血供丰富,瘤体较大时可侵犯周围结构,表现出恶性潜能。手术难度极大,手术过程中可能会出现颈内动脉破裂引起大出血,导致重度贫血或休克。术后并发症发生率高,脑脊液漏、脑膜炎以及后组颅神经损伤引起吞咽困难、声音嘶哑,耸肩及肩部活动障碍。
该例患者的成功治愈,标志着我科侧颅底外科达到了国内领先水平。未来,我们将继续精进侧颅底外科诊疗工作,让更多患者获益。

图1

图2