电话:029-87679000(总机)
地址:陕西省西安市西五路157号
邮编:710114
网址:www.2yuan.xjtu.edu.cn
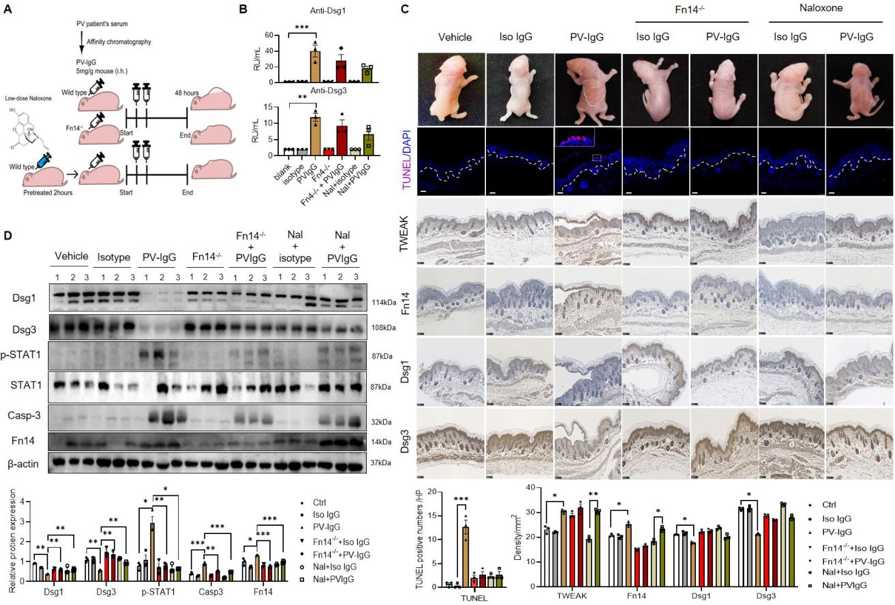
近日,皮肤病院刘亚乐副研究员与夏育民教授在自身免疫学领域顶级期刊《自身免疫杂志》发表原创性研究。研究发现了天疱疮患者皮损及血液中活化的肿瘤坏死因子样弱凋亡诱导蛋白(TWEAK)/成纤维细胞生长因子14(Fn14)通路导致角质细胞凋亡,继而引发天疱疮棘层松解的新机制。此外,该研究还创新性的“老药新用”,证实低剂量纳洛酮通过抑制TWEAK诱导的凋亡相关棘层松解,进而治疗天疱疮的新策略,并成功应用于天疱疮新生小鼠模型的治疗。

天疱疮是一种罕见的、危及生命的自身免疫性大疱病,主要发生于45-65岁的患者。其特征是皮肤和粘膜的疼痛性水疱和糜烂。发病机制主要是针对两种桥粒黏附蛋白桥粒芯糖蛋白(DSG)1和DSG3的致病性抗体导致的角质形成细胞间黏附丧失。目前天疱疮的治疗方式主要为皮质类固醇(单独使用或与免疫抑制剂联用)。然而,长期使用皮质类固醇类药物的相关副作用,如糖尿病、高血压、消化道出血和溃疡等使天疱疮的治疗面临挑战。近年,针对B细胞的利妥昔单抗被推荐作为一线疗法,但仍有近85%的患者报告了不良事件,81%的患者存在无应答或复发,这进一步强调了新疗法的重要性和必要性。
该研究发现在天疱疮皮损和皮损周围皮肤中存在DSG1/3表达降低,TWEAK/Fn14表达增加和角质形成细胞凋亡增加。继而研究者探讨TWEAK在天疱疮基层松解过程中对角质形成细胞的影响。体外实验显示,TWEAK刺激的角质形成细胞凋亡增加,STAT1磷酸化增加,细胞间DSG1/3表达降低,并且免疫共沉淀揭示了活化的Caspase3介导了DSG1/3的缺失。而纳洛酮是一类阿片受体拮抗剂,批准用于阿片类成瘾和酒精依赖,其同分异构体纳曲酮在国外被广泛应用于多种自身免疫性皮肤病的治疗。该研究发现低剂量纳洛酮能够在天疱疮小鼠模型中通过减少细胞凋亡保护了TWEAK诱导的细胞DSG1/3下调以及细胞间黏附丧失。这一研究成果为天疱疮的治疗提供了新思路。

该论文的第一作者是皮肤科彭雪婷和王思佳博士研究生,刘亚乐研究员为末位通讯作者,夏育民教授为共同通讯作者。西安交通大学第二附属医院为该项研究的第一及通讯单位。
刘亚乐副研究员主要进行自身免疫性疱病相关研究。近年来以第一或通讯作者(含共同)在国际著名期刊Sci Immunol、Cell Rep Med、J Autoimmun、Br J Dermatol、J Invest Dermatol等杂志发表17篇论文;主持国家自然科学基金项目2项。
文章链接:https://www.sciencedirect.com/science/article/pii/S0896841124001410