电话:029-87679000(总机)
地址:陕西省西安市西五路157号
邮编:710114
网址:www.2yuan.xjtu.edu.cn
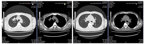
61岁的老陈(化名)近日因血糖控制不佳于洛阳市中心医院内分泌科住院治疗,期间患者要求行肺部健康检查,结果胸部CT提示右肺上叶占位性病变并纵膈淋巴结稍肿大(图1)。患者本人及家属非常紧张,通过内分泌科主管医师请呼吸科会诊,经我院常驻洛阳市中心医院专家董西林教授及洛阳市中心医院呼吸科张娜莉主任共同会诊后,考虑肺结核可能性大,不能除外肿瘤,与患者家属充分沟通病情,并建议转入呼吸科进一步行超声支气管镜检查明确肺部病灶性质,征得患者同意于八月初转至呼吸与危重症医学科三病区进一步诊治。

图1患者胸部CT
对于陈先生而言,及早取得病变组织进行病理检查是下一步治疗的关键。8月7日在西交大二附院常驻洛阳市中心医院专家张明教授的指导下,曹义副主任与李浩主治医师首先为患者行支气管超声引导下经支气管镜肺活检术(EBUS-TBLB),术中于右肺上叶尖端探及不规则低回声区,在此肺活检并收集灌洗液送结核分枝杆菌检测;而后对肿大的7组淋巴结行超声支气管镜引导下经支气管针吸活检术(EBUS-TBNA),取材理想并及时送病理检查(图2)。

图2患者超声支气管镜检查
术后患者病理提示肉芽肿性炎症,支气管肺泡灌洗液Xpert检查阳性,灌洗液TB-DNA阳性(图3)。故通过此支气管内超声检查,及时明确了患者肺部占位性病变系结核感染所致,后续转入洛阳市中心医院万安山院区进一步治疗。
支气管内超声是介入呼吸病学的一项重要诊断技术,主要包括辐状探头支气管内超声(R-EBUS)和凸面探头支气管内超声(C-EBUS)。R-EUBS可用于研究气道壁结构、评价肿瘤对支气管壁的浸润程度、引导纵隔病变透支气管壁活检、诊断肺外周病变并引导活检等;C-EBUS主要用于纵隔病变和中央气道周围肿物或淋巴结活检,最常用于恶性肿瘤的诊断和肺癌分期。在我院呼吸与危重症医学科的援助下,洛阳市中心医院呼吸与危重症医学科已常规开展R-EBUS和C-EBUS等检查,为豫西人民健康保驾护航。
董西林主任医师作为我院首批援助洛阳市中心医院的专家,主要负责呼吸与危重症医学科一病区工作,指导洛阳市中心医院开展了硬质支气管镜检查、超声支气管镜检查、支气管镜下氩气/冻融、球囊扩张术等操作。
张明副主任医师作为我院第二批次援助洛阳市中心医院的专家,主要负责呼吸与危重症医学科的科研和三病区医疗工作,多次面向洛阳市中心医院全院科技工作者开展文献检索、论文撰写的科研讲座及培训,指导呼吸科医生申报课题及临床研究的设计,指导疑难危重症疾病的诊治,以及开展EBUS、球囊扩张、支气管镜下氩气/冻融等介入操作。