电话:029-87679000(总机)
地址:陕西省西安市西五路157号
邮编:710114
网址:www.2yuan.xjtu.edu.cn
西安交通大学第二附属医院骨一科王坤正教授团队应用新兴的数字骨科、计算机辅助技术及3D打印技术,打印出病人特有的个体化截骨导航模板,以此定制出病人个性化的手术工具,实施个体化,定制化及精准化手术取得成功。
65岁郭女士10年前开始双膝关节疼痛,病情反复,半年前双膝关节疼痛加重,持续性疼痛,休息后无缓解,行走约100m左右即感疼痛难忍,不能继续行走,患者十分痛苦,生活不能自理。近日以“双膝关节疼痛10年余,加重并活动受限半年”主诉来骨一科就诊入院。经入院查体:双膝关节屈曲内翻畸形,膝内侧压痛明显,髌骨摩擦试验阳性,浮髌试验阴性,双膝关节屈伸活动受限,左侧屈曲挛缩15°,内翻25°;右侧屈曲挛缩20°内翻30°。诊断为:双膝关节骨关节炎,拟行“双膝关节置换术”。

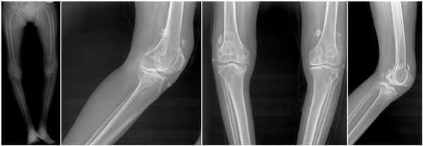
患者术前X光片

计算机模拟手术图片

3D打印截骨导航模板

术中截骨导板应用如图
6月5日,由王坤正教授主刀,在宋金辉、王伟副教授及杨佩副教授的配合下,顺利完成首例PSI(patient-specific instrumentation, 病人个体化截骨导航模板)引导下双侧膝关节同期置换的手术。手术顺利实施,术后病人病情稳定,术后24小时双侧膝关节出血引流量明显较常规手术减少,右侧显性引流20ml,左侧30ml。病人术后疼痛明显缓解。
以往常规膝关节置换手术中应用的常规截骨工具,存在许多不足和缺陷,首先,其型号统一,没有考虑到病人的种族、性别及个体差异;其次,股骨截骨时需要开髓,可能引起膝关节置换术中致命性并发症(脂肪栓塞等)的发生;第三,截骨过程反复测量、确认截骨位置及厚度,相对延长手术时间。
骨一科利用数字骨科技术即PSI辅助膝关节置换,可以克服以往缺陷,具有以下优点:1,可根据每个患者的种族、性别甚至个体差异应用3D打印技术打印出完全符合自己的关节形态的手术工具,即个体化截骨导航模板;2,术中股骨端截骨不用打开髓腔,可避免脂肪栓塞的发生,减少术中出血;3,简化截骨过程,术前经过计算机模拟手术,已经确定了截骨厚度及位置,缩短手术时间。