电话:029-87679000(总机)
地址:陕西省西安市西五路157号
邮编:710114
网址:www.2yuan.xjtu.edu.cn
2023年8月1日凌晨,一名来自甘肃的患者因“胸背部疼痛、发热5天”由救护车急诊转入我院。入院时患者已出现呼吸困难,声音嘶哑,吞咽困难等症状,面容痛苦,神清淡漠,言语含糊,咽部轻度充血,扁桃体不大,张口受限,颈部肿胀明显。胸外科急会诊后考虑诊断为:纵隔脓肿合并感染性休克。

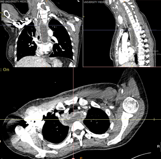
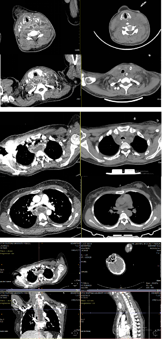
纵隔脓肿(mediastinal abscess),是细菌侵入纵隔组织或血管,引起纵隔组织感染后形成脓液积聚的急性化脓性炎症疾病。因纵隔组织结构疏松,感染可在纵隔内迅速蔓延。细菌及炎症因子、毒素等可通过纵隔内丰富的淋巴管吸收入血,极易产生菌血症、毒血症和败血症,并发感染性休克。因纵隔胸膜限制,脓液增多时可压迫纵隔内心脏、大血管进而影响循环功能。可出现大血管腐蚀、下行性坏死性纵隔炎等严重并发症。若未及时正规治疗,病情常迅速加重,休克,甚至死亡。有文献报道合并感染性休克的纵隔脓肿病例死亡率超过60%。需及时手术减压引流、抗感染、生命支持等综合治疗。
胸外科李少民主任评估患者病情后与家属沟通:“患者目前诊断为纵脓肿,已出现感染性休克表现,病情危重,药物保守治疗好转机会渺茫,需进行手术探查,但手术风险极大;但我们一定会尽最大努力为患者争取一线生机。”家属同意手术治疗。在准备急诊手术的过程中,同时给予抗休克治疗,并急诊完成了胃镜、电子支气管镜、增强CT等检查;评估患者纵隔脓肿是否由食管或气管损伤引起,进一步明确脓肿与周围组织及血管的解剖关系。术前准备完善后,第一时间接入急诊手术间进行手术。因脓肿波及颈部、胸部,且颈部肿胀严重、气管受压,全麻气管插管也是一个挑战;幸运的是由经验丰富的麻醉医师张鹏顺利完成了气管插管。此时面临更大的挑战:手术入路的选择是颈部入路还是胸部入路?能否通过一个入路解决问题?李少民主任通过详细阅读术前检查以及丰富的临床经验选择行颈部左侧切开,于胸锁乳突肌深面暴露脓肿,探查脓肿位于椎前间隙,上达会厌后方,下至后纵隔气管分叉,有大量黄色浑浊脓液积存,吸出脓液,量约150ml;过氧化氢液冲洗,于颈部切口沿椎前间隙留置负压引流管两根,上管至会厌上方,下管至气管分叉水平,引流满意。术后给予抗感染及支持疗法,术后第1天患者颈部肿胀明显好转,呼吸困难及声音嘶哑明显好转,体温正常。患者清楚的向医生说出“谢谢您们把我从鬼门关拉了回来。”

李少民主任讲道:“纵隔脓肿患者手术治疗最重要的是充分引流,我们用一个5cm的切口加两根引流管挽救患者生命;即达到了治病救人的目的,还将患者创伤降到了最低!”
