电话:029-87679000(总机)
地址:陕西省西安市西五路157号
邮编:710114
网址:www.2yuan.xjtu.edu.cn
近日,胸外科李少民教授团队成功救治一例大咯血肺实变危及生命患者,目前患者术后恢复良好。
患者解某,男,65岁,半月前突发痰中带血,就诊于当地某医院,支气管镜检查报告提示气管及双侧支气管可见血性分泌物,右肺下叶刷片病理显示腺癌,行PET/CT示右肺下叶后基底段胸膜下巨大软组织肿块,大小约为75mm,临近胸膜受累,纵膈及肺门淋巴结转移,第7组淋巴结大者长径约30mm,临床分期IIIB期。患者病情快速进展,1周前出现大咯血,每次约150ml左右,血红蛋白下降至80 g/L,并随时有窒息的风险,患者家属向多家医院求诊,均被告知患者病情危重,暂不宜手术,建议保守治疗。但目前所有治疗都未能缓解病情,咯血量还在增加,患者危在旦夕。

患者术前胸部CT:纵膈窗及肺窗
家属慕名找到我院胸外科李少民主任,李主任考虑肺癌侵犯肺内血管导致出血可能,对于IIIB期肺癌病人的治疗原则手术并非优先,但不可一概而论,应沉机观变,在内科保守治疗无效后,手术切除病变肺组织或许还可能给患者一线生机,再谨慎的分析病情和对家属充分告知后,通过支气管镜快速明确出血位于右肺下叶病变处,积极行术前准备,入院不到2小时,病人被推进了手术室。
李少民主任带领马震川、孔冉冉主治医师和郭询住院医师,紧急制定了详细的手术方案,并在张珍妮教授麻醉的保驾护航下,首先通过胸腔镜进行观察,发现右肺下叶实变、遍布弥漫性出血灶,第7组淋巴结延伸至肺门,肿物侵犯肺动脉、肺静脉及气管,腔镜难以游离,此时气管插管的管道中鲜血仍不停的涌出,李少民主任当即延长手术切口,在血管表面谨慎游离肿物,并随时有大出血的可能,经过1个多小时争分夺秒抢救,直径75mm的肿瘤被完整切除,并尽可能的清扫了纵膈淋巴结,手术顺利完成,术后病人咳血症状完全缓解,并于术后第3天,拔除胸腔闭式引流,近日可出院休养。

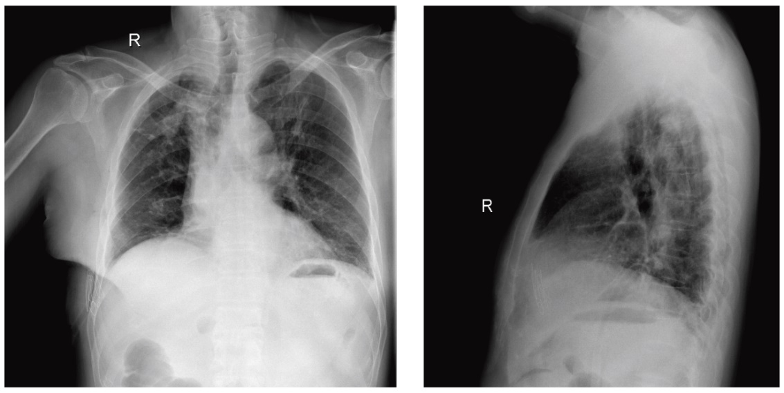
患者术后胸部X线