电话:029-87679000(总机)
地址:陕西省西安市西五路157号
邮编:710114
网址:www.2yuan.xjtu.edu.cn




血友病是一种相对罕见的遗传性疾病,以特定的凝血因子缺乏导致的出血为特征。血友病患者会在无外伤或者轻微外伤情况下出现出血不止或者反复出血。具体到肌肉骨骼关节系统,血友病会引起肌肉关节血肿、血友病假瘤、血肿破溃感染、血友病性关节炎等严重临床表现,导致患者巨大痛苦和严重残疾畸形,也给家庭、社会带来沉重的负担。
对血友病这一罕见病的治疗,有着不同于普通患者的种种特殊困难,对骨科医生来说向来都是重大的挑战。但是对罕见病患者的深切同情,对我们所肩负社会责任的体认,促使骨二科的医生们,十余年来一如既往地关注着血友病骨科治疗——这一鲜有人敢于问津的医疗“畏途”。
在贺西京院长、李浩鹏主任的领导下,骨二科十余年来的反复探索,十余年来的艰苦细致的工作,帮忙陕西省以及周边省区众多血友病患者缓解了病痛、改善了生活质量,取得了2003年全国首例血友病膝关节置换这样的令人欣慰的记录,也逐步完善并建立了对血友病骨科患者从保守治疗、微创干预到关节置换的完整成熟的诊疗规范。
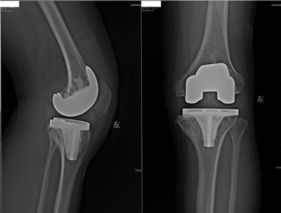
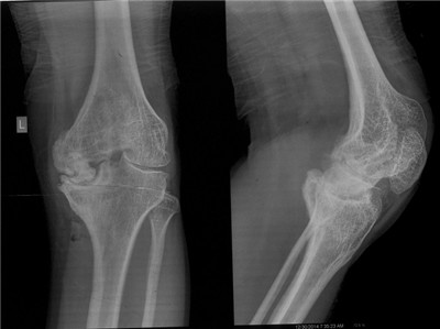
近日在骨二科徐思越副主任医师治疗组收治的一例血友病性关节炎患者的膝关节置换术中,一如既往地贯彻了个性化治疗、术前周密准备的传统。这位青年男性患者数年前因为血友病性巨大假瘤侵蚀膝关节骨质,不得不行右下肢膝上截肢,现在又由于严重的左膝血友病性关节炎承受着严重的膝关节疼痛。这位患者的膝关节骨质发育不良,且胫骨侧骨质严重缺损,并伴有屈曲挛缩畸形。对这样特殊的血友病性关节炎病例,是行技术要求高、围手术风险大的膝关节置换术;还是做风险较小,比较“稳妥”的膝关节融合术?
我们充分站在患者角度思考,考虑到膝关节融合术会给一个已经接受过对侧截肢手术青年患者,在未来漫长生涯中带来的巨大不便。我们决定,接受挑战,优先考虑膝关节置换术。
术前李浩鹏主任医师与主管医师徐思越副主任医师、张廷主治医师反复讨论、推敲,从麻醉方式、假体选择、围手术期凝血因子补充、手术备选预案、术后引流方式、术后康复计划一一落实。值得一提的是,术前应用先进的3D打印技术原大重建了患膝关节模型,对我们推演手术步骤、充分预计手术中可能出现的状况,起到很好的辅助作用。
正是术前付出的辛勤准备,让手术过程流畅平稳。在李浩鹏主任医师、徐思越副主任医师主刀,张廷主治医师协助下,手术已顺利完成,术后患者恢复平稳,患者正按原计划积极康复中。