电话:029-87679000(总机)
地址:陕西省西安市西五路157号
邮编:710114
网址:www.2yuan.xjtu.edu.cn
近日,骨三科成功治疗一例少见的脊柱侵袭性血管瘤患者。
54岁的男性患者马某以“自感腰部及双下肢麻木14个月”之主诉入院。入院前曾在当地反复按腰椎间盘突出治疗,疗效不佳。后行胸椎MRI检查,发现胸6椎体血管瘤,相应平面椎管内有一占位严重压迫脊髓。患者遂慕名找到高宗强副主任医师就诊。
入院后,经过程斌主任、张纯主任及张开放教授讨论后,在进一步完善了相关检查的同时,高宗强副主任医师先后多次与影像科张秋娟教授、神经外科许刚、王睿智、刘重霄、周乐教授、儿外科郭新奎教授、介入科刘强教授、放疗科王宝峰教授等相关科室专业人员反复研究病情,与此同时,家属也意识到手术的难度与风险,主动联系北京天坛医院神经外科的的王主任与高宗强副主任医师沟通会诊。
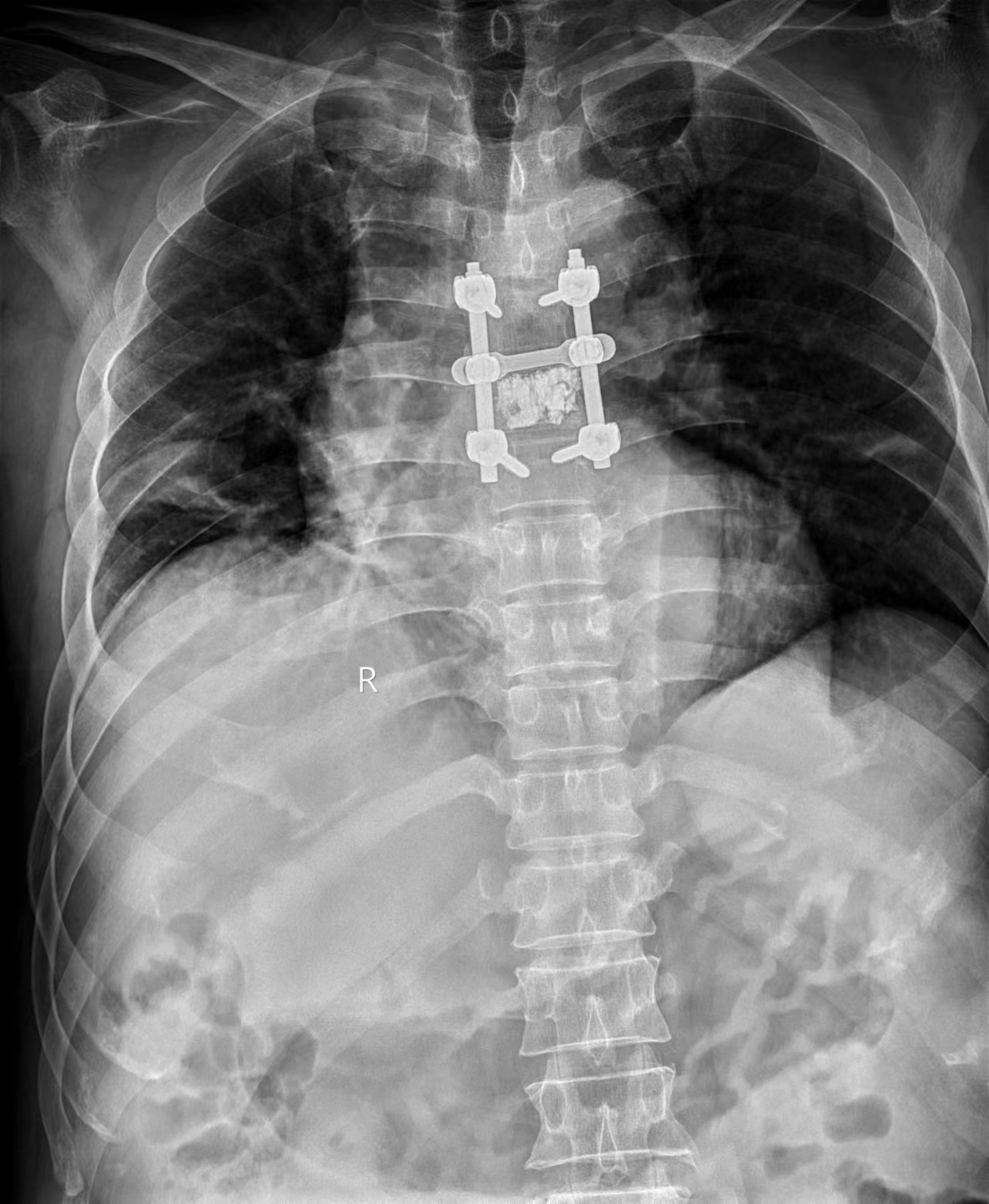
经过多方会诊与缜密分析,考虑该患者可能为一例少见的脊柱侵袭性血管瘤。血管瘤在侵蚀椎体的同时侵入椎管腔压迫脊髓,造成了患者神经功能障碍。这种血管瘤,虽冠有“瘤”名,却属于血管畸形的一种,血供异常丰富,手术只能整体一次性切除,无论是分块抑或部分切除,均可能造成术中无法控制的大出血导致灾难性后果。手术难度大,风险高。鉴于肿瘤血供丰富,对放疗可能敏感,大家一致认为,手术+放疗的方案应该是最佳选择。遂制定了胸5/7椎弓根螺钉固定+后路减压+胸6椎体灌注骨水泥+瘤体剥除+术后放疗的诊疗方案。在医院用血紧张的情况下,在家属互助献血的基础上,输血科韩梅宁主任多方协调,调用10个单位的血备用。


经过充分准备,手术于7月6日如期进行,由薛丽副主任医师麻醉,高宗强副主任医生在董军博士的帮助下,顺利完成了胸5/7椎弓根螺钉置钉、后路减压、胸6椎体灌注骨水泥等工作。在胸6椎体灌注骨水泥时,插入的套筒拔掉针芯后,鲜血就像打开的水龙头一样往外涌。当一切完成后,神经外科周乐主任医生在显微镜下进一步分离硬膜囊周围瘤体组织,见迂曲变形的血管充满了椎管腔,进一步证实了术前瘤体血供异常丰富的判断。在对脊髓进行充分减压并彻底止血后,关闭伤口,完成既定手术方案。术后第二天,患者便诉双下肢麻木症状明显减轻,如今病人下地活动1周多,无明显不适。经放疗科王宝峰教授会诊,待伤口完全愈合1个月后开始术后放疗计划。
这一少见手术的顺利实施,体现了我院骨科的学科实力和综合医院多学科协作的优势。