电话:029-87679000(总机)
地址:陕西省西安市西五路157号
邮编:710114
网址:www.2yuan.xjtu.edu.cn
刘先生身患肺癌伴全身多发骨转移,疼痛难忍,不敢翻身、坐立和下床,需要反复使用强效止痛药控制。家人四处奔波寻医问药,然而治疗效果却很有限,严重影响生活质量。家人满怀期待来我院就诊,经检查发现全身多处骨转移瘤尤以左侧髂骨最为巨大,是导致骨盆及下肢疼痛的主要原因。为解决这一难题,我院积极组建由呼吸内科、核医学科、移植外科、骨科、放疗科、影像科专家MDT诊疗团队,讨论决定使用CT引导下125碘粒子植入以解决患者骨痛问题。
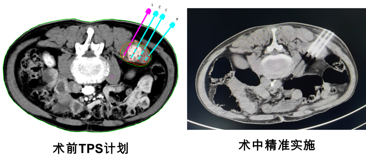
为保障手术治疗效果及安全性,移植外科曲凯副教授、核医学科屈伟副主任及宁宁副主任医师在术前精心勾画治疗靶区,进行TPS计划,以确保粒子精准植入。2023年7月6日,在核医学科郑向红主任的大力支持下,由移植外科曲凯副教授、核医学科宁宁副主任医师在我院核医学科完成首例CT引导下骨转移瘤125碘粒子植入术。在多学科保障及医技护组的积极配合下,手术实施过程顺利,患者术后第二天便可自由翻身、下床,第三天恢复出院。




骨转移是癌症常见的转移部位之一,一旦转移常常多处同时出现,常常伴有难以忍受的疼痛。患者需长期使用吗啡类镇痛药才能奏效,但反复持续用药后止痛作用逐渐下降,难以达到理想效果。放疗是以往常用的姑息治疗方法,能有效控制骨转移肿瘤病灶并有助于缓解疼痛,但对多发性、巨块型病灶应用价值有限。
在外放疗无法兼顾的情况下,CT引导下125碘粒子植入是适宜的治疗方法。这种方法是在CT引导下将放射性粒子植入到骨转移瘤局部,起到持续、精准杀伤肿瘤的作用。其创伤小,止疼效果明显,无明显辐射并发症,具有良好的疗效和较高的安全性。对于晚期肿瘤难以手术根治以及术后复发,尤其是位置深,在放化疗系统治疗效果欠佳的肺部、肝脏、胰腺、骨等部位的肿瘤具有奇效。此例手术的成功开展,标志着我院肿瘤微创治疗技术领域再度拓宽。