电话:029-87679000(总机)
地址:陕西省西安市西五路157号
邮编:710114
网址:www.2yuan.xjtu.edu.cn



近日我院消化科完成了一例胰腺微小病变穿刺活检术,在超声胃镜引导下,以22G穿刺针进行一处胰腺颈部9mm病灶的穿刺活检,病理结果显示为胰腺神经内分泌恶性肿瘤(pNET)。是一例罕见的早期胰腺恶性病变,本例穿刺也创造了我院消化内科超声内镜引导下最微小病变诊断的记录。
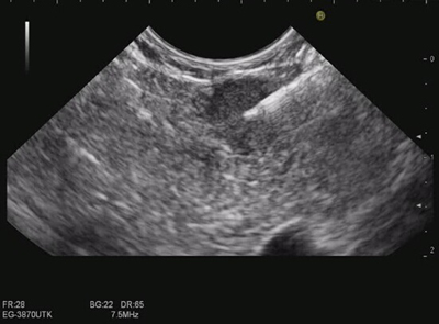
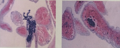
患者陈××,女,62岁。以上腹不适10余天之主诉入院。10余天前因上腹不适,就诊于当地医院。行胃镜检查示十二指肠溃疡,胃壁内隆起性占位,胃体粘膜下良性肿瘤?遂转至我院消化科行超声胃镜检查,针对胃壁病变进行超声提示为胃体小弯侧固有肌层低回声占位,考虑胃体间质瘤。当完成目标病变的扫查后,以超声内镜常规进行胆胰系统的扫查,在患者胰腺颈部发现一处低回声占位,血流多普勒显示病变血供丰富,最大截面大小为9mmx6mm,弹性成像显示病变较软,彻底扫查胰腺其余部位后未再发现异常回声。行胰腺薄层CT未能发现病变。征求患者同意于超声内镜引导下,经胃壁进行细针穿刺,为减轻患者痛苦,行笑气吸入麻醉,马师洋主治医师以22G穿刺针反复于胰腺颈部微小病变内抽吸组织及细胞,得到了充分的组织标本,患者全程配合良好,术后在胃镜下可见局部胃壁微小针眼,无需特殊治疗即可当日进食。术后病理片经多家医院会诊后,确诊为:低分化小细胞神经内分泌癌。患者将随之接受微创手术治疗,有望根治这一恶性肿瘤。
目前消化内镜技术最顶尖的操作以“3E”技术为代表,分别是ERCP(内镜逆行胰胆管造影)、ESD(内镜下黏膜剥离术)与EUS(超声内镜技术),分别代表着消化系统疾病诊治的不同方向,但都以微创、早期、显效而著称,胰腺病变由于其特殊位置与病理性质,通常难以诊断与治疗,胰腺癌至今仍享有“癌中之王”的称号,但是在EUS高达0.1毫米级的分辨率下,即使是直径25px以下的胰腺病变在早期仍有机会被发现,随之会极大的改善患者预后。本例患者胰腺内的病灶即于超早期发现,有利于监测病变发展,保障患者安全。目前EUS技术更加成熟,可应用的领域极广,对于胆总管下段的清晰显示能够补充普通超声、MRCP的不足,准确发现微小结石,避免了对于胆囊切除术患者行术中胆总管探查的必要。对于胰腺或腹腔占位如胆囊癌、肾上腺肿瘤的穿刺活检为化疗、放疗以及手术提供了基础,对于纵隔的观察更有得天独厚的优势,食管癌术前分期应用尤为广泛,包括消化管壁的肿瘤扫查在内,至今我科已开展EUS近2000例,2014年更是引入价值500万的最新超声内镜设备,在西北地区有极强的影响力,更多少见与疑难病的诊治预示着我院EUS水平进入国内领先行列。