电话:029-87679000(总机)
地址:陕西省西安市西五路157号
邮编:710114
网址:www.2yuan.xjtu.edu.cn

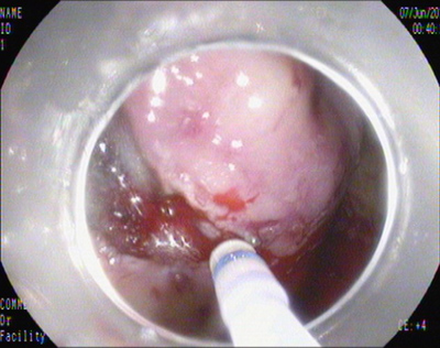
胃腔内瘤体

超声胃镜下的瘤体

胃镜下切除术

胃腔内切除的瘤体标本

胃壁切口

钛夹缝合

分割后瘤体标本

复原的瘤体标本
近日我院消化科完成了一例胃镜下胃壁全层切开(EFTR)术,完整切除了胃底巨大间质瘤,瘤体大小4.0×5.0cm,术后患者恢复良好出院。创造了我院消化内镜下切除肿瘤体积最大的记录。
患者徐××,女,62岁。以上腹不适10余天之主诉入院。10余天前因食枣后出现上腹不适,就诊于当地医院。行胃镜检查示胃内异物、慢性浅表性胃炎、胃体粘膜下肌瘤?并将枣核取出,症状好转。现为明确胃体肿物性质就诊于我院。消化科超声胃镜检查见:胃体底交界前壁小弯侧光滑粘膜隆起性病变,超声扫描见局部胃壁层次清晰,固有肌层可见低回声占位,最大截面约35×25mm,内部回声不均匀,可见不规则无回声区及高回声斑,其余各层未见异常回声。诊断为胃底体交界粘膜下隆起性病变考虑间质瘤。遂门诊以“胃间质细胞瘤”收住入院。入院查体无阳性体征。血、尿、粪常规、凝血功能、肝炎系列+HIV+TP及肿瘤系列未见明显异常,胸片、腹部彩超未见明显异常。经与主管医师组讨论,可行内镜下切除术。但瘤体巨大,且侵及胃壁肌层,完整切除需行经胃镜下全层切开(EFTR)术,可能胃壁切口较大,必要时需请外科腹腔镜联合手术,缝合胃壁切口。经与患者及家属充分告知谈话后,患者及家属同意胃镜下手术。
2014年7月4日,田俊斌医师施行全身麻醉,李雪荣、左爱丽护师等为手术护士,邹百仓主治医师、张莉主治医师施行EFTR手术。胃镜下见胃底体交界前壁见巨大粘膜下肿瘤,暴露于胃腔的瘤体大小约3.0×4.0cm,表面光滑,中央凹陷。粘膜膜下注射后,环形切开瘤体周围粘膜,剥离瘤体周围粘膜下层,中央与肌层紧密连接,并向腔外生长,全层切开瘤体周围肌层,完整切除瘤体,可见腹腔脏器及网膜组织,钛夹尼龙圈荷包缝合切口,尼龙圈脱落,后用钛夹夹闭缝合切口,创面无渗血。由于标本较大坚硬无法完整一次取出,用圈套器将瘤体分切成5块,分块取出,拼凑复原瘤体形态,测量大小4.0×5.0cm。术后4天胃镜复查:胃壁切口溃疡形成,无出血及穿孔,嘱患者进食流质饮食。病理结果:胃底间质瘤,中、低度恶性风险,向神经纤维瘤发展。术后1周出院。
随着内镜下切除技术的发展,我国医生在ESD技术的基础上,探索开展了经消化内镜下消化道全层切开术(Endoscopy Full-thickenResection,EFTR),切除消化道粘膜下肿瘤,经临床实践手术已成熟,并逐渐开展应用。消化科已开展EFTR术10余例,完整切除了最大截面0.6-3cm 粘膜下肿瘤。最大截面5cm左右的肿瘤内镜下切除,难度较大,国内开展的医院较少。本例手术的完成,锻炼了消化科手术团队能力和毅力,提升了技术水平,展示了消化科消化内镜下的切除手术进入国内先进行列。