电话:029-87679000(总机)
地址:陕西省西安市西五路157号
邮编:710114
网址:www.2yuan.xjtu.edu.cn


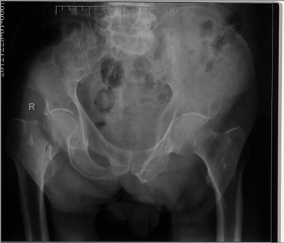
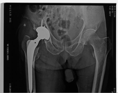
近日,我院骨一科成功为两位百岁超高龄老人施行了股骨颈骨折人工全髋关节置换术。患者术后均恢复良好,日前已康复出院并能拄拐行走。
100岁患者王某及94岁患者李某摔伤前生活均能自理。两位患者于家中活动时不慎跌倒致股骨颈骨折。其子女随即将老人送至我院骨一科就诊。入院后王坤正主任,党晓谦副主任,宋金辉副教授,张晨主治医师及唐一仑主治医师对患者进行了细致的体格检查,全身状态综合评估。同时邀请麻醉手术科、心内科、呼吸科等相关科室进行院内综合会诊,根据患者的年龄、病情及患者的全身状况,经过反复多次周密的讨论,决定施行全髋关节置换术。由于老人年岁均近“百岁”,手术风险极大,每个环节都有可能出现生命危险。为了使两位老人围手术期平稳安全度过,骨一科全体医护人员及麻醉手术科等相关科室均进行了充足的准备。
经过谨慎细致的术前准备,在麻醉手术科的全力配合下,由王坤正主任主刀,宋金辉副教授主助,张晨主治医师、唐一仑主治医师配合,先后为两位患者施行了股骨颈骨折人工全髋关节置换术。手术历时均约1个小时,过程安全平稳顺利。手术后患者生命体征平稳,经抗炎、镇痛、对症支持治疗患者逐步康复。术后1周,患者由家属搀扶拄拐下地活动。患者及其家属对手术效果非常满意。
股骨颈骨折是老年人较常见的骨折类型。老年人脏器机能代谢差,应激能力与功能低下,一旦发生股骨颈骨折,迫使患者卧床不起,易引起肺炎、褥疮、泌尿系感染、血管栓塞等并发症,严重者可引起死亡。传统的非手术治疗患者需长期卧床从而导致严重危及生命的并发症;故现在主张对能耐受手术的患者尽早行手术治疗,降低并发症的发生率,使患者早期活动,争取达到生活自理。
股骨颈骨折施行人工髋关节置换手术本身难度不大,但要为近百岁高龄的老人施行此类手术,不仅是对手术医师、麻醉医师的挑战,更是需要我院强大的医疗护理体系保障。我院骨一科在中华医学会骨科分会副主任委员兼关节外科学组组长王坤正主任的带领下,在人工髋关节置换领域(包括高龄患者股骨颈骨折、成人髋关节发育不良等高风险,复杂髋关节置换等)积累了丰富的经验。骨一科为超高龄患者成功施行人工髋关节置换手术成功突破了以往髋关节置换手术的超高龄禁区,为超高龄患者股骨颈骨折手术治疗带来了希望和福音,也标志着我院骨科及相关医护体系综合技术水平和整体实力上了一个新台阶。
文:张晨
图:唐一仑
责编:屈姝利