电话:029-87679000(总机)
地址:陕西省西安市西五路157号
邮编:710114
网址:www.2yuan.xjtu.edu.cn
近日,驻洛专家组消化内科马师洋教授在洛阳市中心医院成功开展超声内镜引导下细针穿刺技术、结肠支架植入术,均为医院首例,助力洛阳市中心医院消化内镜中心工作迈上新台阶。


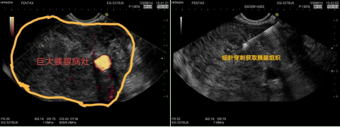
一名反复腹痛合并腹水的患者住入消化内科求医,CT显示胰腺占位病变,但是病变位置较深,临床上怀疑恶性肿瘤,却无法迅速获取病理诊断。马师洋教授仔细查看患者及病例资料后,提出了为该患者做超声内镜引导下细针穿刺技术(EUS-FNA)的建议。6月14日下午,在洛阳市中心医院病理科黄建伟主任及王猛医师现场病理支持下,马师洋教授为患者进行胰腺扫查,仔细观察病变大小,评估病变性质及病灶周围情况,找到合适穿刺部位,精准的穿出目标组织条,为患者后续治疗拿到了关键的病理证据,整个过程仅用时30分钟。
一位50岁的晚期结肠癌患者,由于近日出现了肿瘤复发并发梗阻及肝内转移,就诊于洛阳市中心医院消化科,马师洋教授与医护通力合作,反复测量狭窄段长度,精心设计支架植入方案,在结肠镜联合X线辅助下,成功完成结肠支架术,让多日不能排便的患者能自主排便。
马师洋教授入驻洛阳市中心医院消化科两个月以来,带领消化团队取得了不俗的成绩,特别是在超声内镜检查及其介入治疗方面,更是填补了医院的空白。EUS-FNA的成功开展,标志着我院消化内镜技术又一重大突破,真正补齐了消化内镜“3E”技术,标志着洛阳市中心医院消化内镜技术迈入了国内先进行列。