电话:029-87679000(总机)
地址:陕西省西安市西五路157号
邮编:710114
网址:www.2yuan.xjtu.edu.cn

图1 正位片:左侧颈内动脉血管内可见混杂密度团块影,且重度狭窄

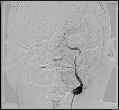
图2 侧位片:左侧颈内动脉血管内可见混杂密度团块影,且重度狭窄

图3 正位片:左侧颈内动脉血管内狭窄部位支架成形术后,血管通畅

图4 侧位片:左侧颈内动脉血管内狭窄部位支架成形术后,血管通畅
?“时间就是大脑”,这是每一个我院神经内科医务工作的信条。昨日,我院神经内科吴海琴主任接到外院一个电话得知有一个年轻男性突发右侧肢体无力2小时,考虑脑梗死可能。病情即是命令,吴主任立即指示把该患者送入我院神经内科。在患者来院的同时,指示我院神经内科值班的介入治疗人员及介入治疗室祁小江技师做好急诊介入治疗的准备工作。
患者送入我院时意识模糊,右侧肢体完全不能移动,不能言语,我院神经内科按照脑梗死应急预案,通过急性脑梗死绿色通道立即行头颅CT排除脑出血。考虑脑梗死,但病灶尚未显示,有急诊动脉介入治疗的指证和时间。吴海琴主任和张桂莲副主任立即向家属谈病情并介绍介入治疗的利弊,同时展淑琴副主任医师和卜宁及孙宏主治医师指导完成术前各项准备工作并加用基础治疗。家属了解病情后签字同意介入治疗。吴海琴主任、张桂莲副主任、张茹副主任医师立即在祁小江技师、赵菊凤护士的配合下给患者行脑血管造影,造影见左侧颈内动脉内有异常混杂密度团块影,并局部重度狭窄,远端血管血供极差,考虑血栓形成所致狭窄。虑及动脉溶栓有可能使血栓脱落,栓塞远端血管,遂在保护伞的保护下给局部狭窄部位安放2枚支架,把血栓压住贴壁,使狭窄的颈内动脉基本恢复正常,远端血供恢复,患者意识清楚,右侧肢体能够在床头移动。此时距离患者发病仅4小时。今晨患者右侧肢体能够抬离床面并对抗阻力,能连续说出数个单词。
脑组织对缺血极度敏感,部分研究显示脑细胞完全缺血6分钟即可产生不可逆损伤。因而急性脑梗死治疗的关键在于尽早开通闭塞的脑血管,恢复脑组织的血供。目前急性期介入治疗,尤其是动脉介入溶栓是治疗急性期脑梗死最先进的治疗方法之一。建议广大患者,尤其是具有高血糖、高血压、高血脂、心脏病的患者,一有肢体瘫痪或言语不清、头晕症状应立即来院治疗,以免错过最佳的治疗时间。
作者:神经内科 王虎清
摄影:神经内科 王虎清
责编:傅媛馨