电话:029-87679000(总机)
地址:陕西省西安市西五路157号
邮编:710114
网址:www.2yuan.xjtu.edu.cn

? “爆竹声中一岁除,春风送暖入屠苏。千门万户瞳瞳日,总把新桃换旧符。”在噼里啪啦的鞭炮声中我们迎来了崭新的一年,喜庆的节日、美好的心情、绚烂的景象,让人感慨万千,心花怒放。随着一声声的爆竹声给人们带来浓浓年味的同时,也给一些家庭带来了无尽的痛苦,被鞭炮炸伤、炸残的患者成为春节期间医院就诊的“主流”。但是,被爆竹炸伤导致脑部挫伤的病例却极为少见,然而就在大年初三,我院神经外科就收治了一名因燃放烟花爆竹导致脑挫伤的患儿。
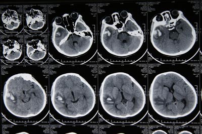
大年三十晚上,十岁女童贾某在无成人陪护的情况下,燃放了一枚威力不小的爆竹,而导致爆竹伤及头部,右颞红肿、出血,被送往当地医院进行了包扎处理。原以为慢慢恢复即可康复,但是,连续两天患者出现了头晕、头疼、恶心、呕吐等症状,为求进一步诊治,于大年初三送来我院神经外科就诊。主管大夫权俊杰医师经脑CT检查,确诊为急性闭合性颅脑损伤、脑挫裂伤(右颞)、软组织挫伤(右颞、右眼睑),收治入院进行药物保守治疗,目前患者正在进一步康复中。
权俊杰医生提醒广大市民、家长:儿童燃放烟花爆竹,一定要在有成人看管的情况下进行;对于没有炸响的鞭炮、没释放的烟花,要当心“卷土重来”;燃放时,要远离烟花爆竹;对于旁观者,无论是大人还是儿童,都要事先提醒,安全观赏;如出现意外情况,要及时送往医院确诊治疗,切不可因小伤而忽略病情,危及生命,铸成大错。
事实证明、教训说明,只有将安全放首位,我们才能在“爆竹声中一岁除”之时,快乐地实现新桃换旧符。一定要在安全第一的相伴下,畅饮“屠苏”,迎接“瞳瞳日”!(宣传部 傅媛馨 图/文)