电话:029-87679000(总机)
地址:陕西省西安市西五路157号
邮编:710114
网址:www.2yuan.xjtu.edu.cn


血管仿真内窥镜

脑血管3D成像技术

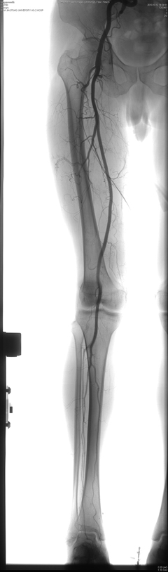
下肢血管造影无缝拼接
我院于今年8月安装了GEinnova4100数字大平板DSA,为我院外周及神经介入的大力发展提供了有力的保障。安装以来,月平均开展介入手术100余台。机器功能先进,效果非常好。是目前陕西地区同类设备中最先进的。
Innova 4100采用41cmⅹ41cm的超大面积的Revolution数字化平板探测器,矩阵高达2048ⅹ2048,是目前最大的平板探测器,属于真正的外周专用机。
Innova4100拥有业界最大视野40×40cm,即标准的16英寸大视野,这就使得4100在做全腹部造影时可轻松覆盖全腹,在做血管跟踪造影时,与纵向移动达170cm的专用导管床配合,可一次完成从胸部到脚的双侧血管跟踪造影,从而有效减少了球管曝光次数,缩短了手术时间,极大降低病人受辐射剂量。
除了实时DSA,路径图,QVA等常规介入软件外,还将支持Fastspin高速旋转DSA, Bolus chasing下肢血管连续跟踪造影和无缝拼接等高级功能软件,尤其令临床医生振奋的是将支持代表目前血管造影机最高软件水平的3D路径图,Innova3D和InnovaCT。3D路径图与普通路径图相比能更准确地反映血管的真实走向,大大缩短手术时间和难度,对于超选插管等复杂手术具有重大的指导意义。Innova3D可以显示从软组织,骨头和血管的不同断面的图像,一方面可以显示更精确的三维血管图像,而且还可以显示血管与软组织,骨组织之间的关系,可用于血管和其他小部位如脊柱和眼眶的血管和骨头能更精确的观察。而业界独有的InnovaCT更是最高软硬件技术的完美结合,它融合了CT和DSA图像特点,对于疾病诊断和手术计划的制定等方面有很大的用处:如可以用来评估肿瘤的来源, TACE手术血流动力学观察,TACE术后效果判断,肿瘤早期诊断,器官移植的血供分析,脊椎疼痛治疗以及脑神经手术中脑出血诊断等复杂手术。Bolus chasing下肢血管连续跟踪造影和无缝拼接可以实现一次造影就可以全程显示下肢血管。另外其基于3D技术的血管仿真内窥镜技术可以显示血管腔内的结构,为介入诊断治疗提供参考。(影像科 祁晓江/文 张雷 祁晓江/图)